El homólogo de MutL 1 (MLH1) es un componente central del sistema humano de reparación de errores de apareamiento del ADN (MMR), responsable de corregir los errores de bases y los bucles de inserción/deleción durante la replicación del ADN. El MLH1 forma heterodímeros, principalmente con PMS2, para coordinar los procesos de reparación posteriores tras el reconocimiento del error por los homólogos de MutS. La disfunción o pérdida de MLH1 altera la integridad genómica, lo que resulta en un fenotipo "mutador" caracterizado por altas tasas de mutación e inestabilidad de microsatélites (MSI). La deficiencia de MLH1 es un factor frecuente de carcinogénesis en cánceres colorrectales y gástricos, y desempeña un papel crítico tanto en síndromes de cáncer esporádicos como hereditarios, como el síndrome de Lynch.
Utilidad Diagnóstica en Patología Gastrointestinal
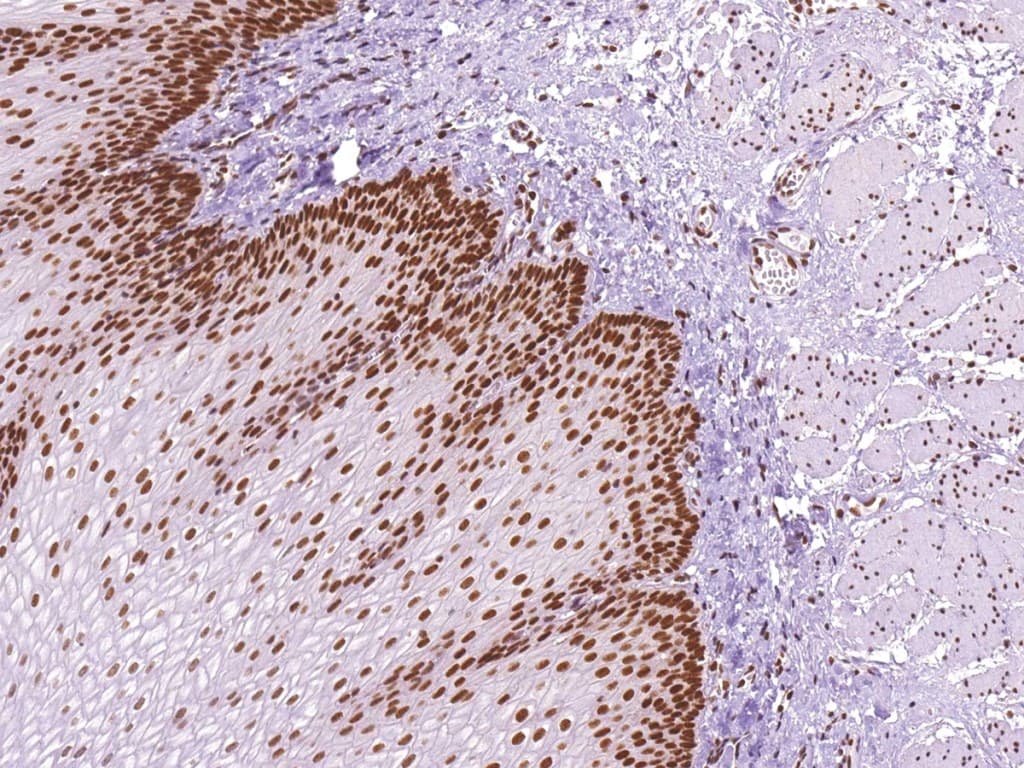
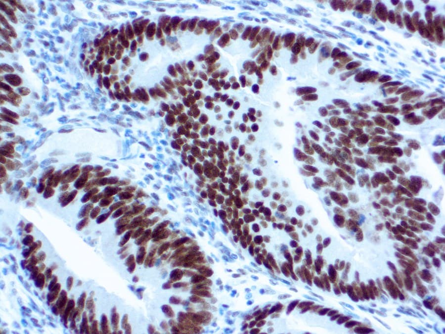
La evaluación inmunohistoquímica (IHC) de MLH1 es una herramienta diagnóstica estándar para tumores gastrointestinales. La pérdida de la tinción nuclear de MLH1 se correlaciona con un alto nivel de inestabilidad de microsatélites (MSI-H) e identifica tumores con deficiencia en la reparación de errores de apareamiento (dMMR). La IHC de MLH1 ayuda a estratificar tumores, predecir el pronóstico y guiar las pruebas moleculares, incluyendo el análisis de metilación del promotor de MLH1 o la secuenciación de línea germinal cuando se sospecha síndrome de Lynch. Su alta concordancia con las pruebas de MSI garantiza una identificación fiable del estado de MMR en cánceres colorrectales y gástricos.
Características Clave de los Anticuerpos Anti-MLH1 CE/IVD para IHC
- Validado para su uso en secciones de tejido fijadas en formalina e incluidas en parafina (FFPE).
- Se une específicamente a la proteína nuclear MLH1, permitiendo una detección precisa tanto en tejido tumoral como normal.
- Compatible con paneles MMR multiplex junto con anticuerpos PMS2, MSH2 y MSH6.
- La pérdida de tinción nuclear de MLH1 indica deficiencia de MMR; una tinción intacta refleja un sistema MMR competente (pMMR).
- Marcado CE y validado para IVD, garantizando el cumplimiento de los estándares de calidad clínicos y regulatorios.
- Mejora la precisión diagnóstica para detectar anomalías de MMR en tumores gastrointestinales.
- Respalda la toma de decisiones clínicas, incluyendo la estratificación de pacientes para inmunoterapia, el pronóstico y la identificación del síndrome de Lynch.
Este anticuerpo Anti-MLH1 CE/IVD validado científicamente es una herramienta esencial para patólogos e investigadores que buscan una evaluación fiable, precisa y conforme a la normativa del estado de MMR en patología gastrointestinal.



