Los anticuerpos primarios para inmunohistoquímica (IHC) con marcado CE/IVD son reactivos esenciales en patología diagnóstica e investigación, que permiten la detección específica de antígenos diana en secciones de tejido fijadas en formalina e incluidas en parafina (FFPE).
La validación CE/IVD garantiza el cumplimiento de los estándares regulatorios para diagnóstico in vitro, apoyando resultados consistentes y reproducibles en laboratorios dedicados al análisis de cáncer y enfermedades gastrointestinales (GI).
Importancia en patología gastrointestinal
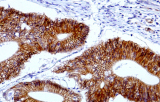
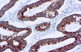
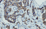
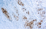
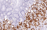
La inmunohistoquímica con anticuerpos primarios CE/IVD es un pilar fundamental en la caracterización de tumores gastrointestinales. Estos anticuerpos ayudan a los patólogos a distinguir orígenes epiteliales de mesenquimales, determinar subtipos tumorales e identificar sitios primarios en enfermedad metastásica.
- En el cáncer colorrectal, los anticuerpos contra citoqueratinas (CK7, CK20) y factores de transcripción como CDX2 facilitan una clasificación tumoral precisa y la diferenciación de subtipos.
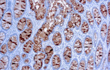
- En adenocarcinomas gástricos y esofágicos, la IHC resalta cambios metaplásicos y displásicos, apoyando la detección temprana y la evaluación pronóstica.
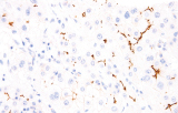
- En tumores del estroma gastrointestinal (GIST), la expresión de KIT (CD117) se detecta de forma fiable mediante IHC, mientras que las mutaciones de PDGFRA se evalúan mediante pruebas moleculares, ayudando en la toma de decisiones terapéuticas dirigidas.
Más allá de la clasificación diagnóstica, la IHC contribuye a la evaluación pronóstica y orienta estrategias terapéuticas personalizadas en oncología gastrointestinal.
Características clave de los anticuerpos primarios CE/IVD
Los anticuerpos primarios CE/IVD para patología gastrointestinal están optimizados para uso diagnóstico rutinario y presentan las siguientes características:
- Alta especificidad y sensibilidad para antígenos clínicamente relevantes como CK7, CK20, CDX2 y cadherina-17, minimizando la reactividad cruzada.
- Cumplimiento normativo que asegura reproducibilidad entre laboratorios, con protocolos estandarizados para tejidos FFPE.
- Compatibilidad con sistemas de tinción automatizados, reduciendo la variabilidad en flujos de trabajo diagnósticos de alto rendimiento.
- Calidad constante y larga vida útil, que garantizan un rendimiento fiable en entornos clínicos y de investigación.
Al integrar anticuerpos primarios CE/IVD en los flujos de trabajo de inmunohistoquímica, los laboratorios pueden obtener resultados estandarizados, reproducibles y clínicamente significativos en patología gastrointestinal.














