CE/IVD anti-insulina para IHC - Patología gastrointestinal

CE/IVD anti-insulina para IHC - Patología gastrointestinal

La insulina es una hormona peptídica fundamental sintetizada y secretada por las células β de los islotes de Langerhans pancreáticos. Desempeña un papel central en la homeostasis sistémica de la glucosa al promover la captación de glucosa en el músculo esquelético y el tejido adiposo, facilitar la glucogénesis hepática y suprimir la gluconeogénesis y la glucogenólisis. Colectivamente, estas acciones mantienen la normoglucemia y regulan el metabolismo energético celular y del organismo. Más allá del metabolismo de los carbohidratos, la insulina influye en el metabolismo de lípidos y proteínas y modula las vías de crecimiento y supervivencia celular a través de cascadas de señalización canónicas mediadas por receptores.

En la patología neuroendocrina gastrointestinal (GI) y gastroenteropancreática (GEP), la inmunohistoquímica (IHC) es una herramienta esencial para detectar patrones de expresión de proteínas que definen el linaje tumoral, la diferenciación y el estado funcional. La IHC utiliza anticuerpos específicos de antígeno para visualizar proteínas diana en tejidos fijados en formalina e incluidos en parafina, proporcionando tanto especificidad molecular como contexto morfológico. Este enfoque facilita la clasificación de tumores, la gradación y la distinción entre lesiones benignas y malignas en el tracto GI, el hígado, el sistema biliar y el páncreas.

Significado Biológico de la Insulina en Tejidos y Tumores

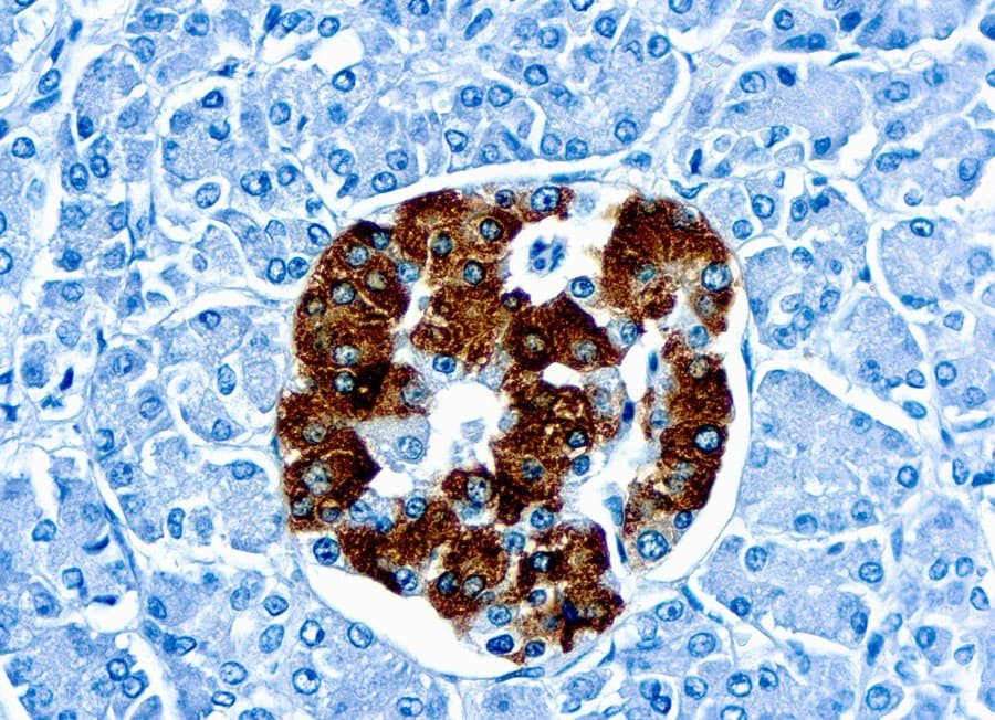
Las células β pancreáticas son la fuente primaria de insulina bajo fisiología normal. La insulina también puede ser producida por tumores neuroendocrinos pancreáticos funcionantes (PanNETs), como los insulinomas. La IHC utilizando anticuerpos anti-insulina resalta la expresión de insulina dentro de estas células tumorales, ayudando en su identificación y caracterización funcional. Estudios comparativos de IHC han demostrado que los insulinomas presentan frecuentemente una fuerte inmunorreactividad a la insulina, subrayando la utilidad de la hormona como marcador específico de tumor cuando se correlaciona con hallazgos clínicos y bioquímicos.

Utilidad Diagnóstica en Patología Gastrointestinal y Pancreática

La clasificación precisa de las neoplasias gastrointestinales y pancreáticas es crítica para el pronóstico y el manejo. Los paneles de IHC que incorporan marcadores específicos de linaje, incluida la insulina, son indispensables para diagnosticar tumores neuroendocrinos y distinguirlos de imitadores no neuroendocrinos. Confirmar un insulinoma funcionante requiere típicamente la expresión demostrable de insulina por parte de las células tumorales en conjunto con datos clínicos y bioquímicos. De manera más amplia, la IHC asiste en la subtipificación tumoral, determinando el sitio de origen de las metástasis y guiando las estrategias terapéuticas apropiadas.

Características Clave de los Anticuerpos Anti-Insulina CE/IVD para IHC

Alta especificidad y reproducibilidad: Los anticuerpos anti-insulina con certificación CE/IVD se desarrollan y validan para garantizar un reconocimiento sólido de los péptidos de insulina humana en tejidos fijados en formalina, produciendo una tinción reproducible con una reactividad cruzada mínima. Estos anticuerpos localizan de manera confiable la insulina en las células β y en las células tumorales productoras de insulina, apoyando una interpretación histopatológica precisa.

  • Patrones cuantificables e interpretables: La IHC anti-insulina permite la evaluación semicuantitativa de la expresión de insulina, permitiendo la valoración de la intensidad de la tinción, la distribución y la proporción de células positivas. Esto es particularmente valioso para la gradación de tumores neuroendocrinos y la identificación de componentes productores de insulina en histologías mixtas.
  • Integración en paneles diagnósticos multiplex: Los anticuerpos anti-insulina complementan otros biomarcadores —como la cromogranina A, la sinaptofisina, Ki-67, ISL1 y PAX6— para refinar la clasificación tumoral y excluir diagnósticos diferenciales, proporcionando un perfil morfológico y molecular integrado para las neoplasias gastrointestinales y pancreáticas.

 

Páncreas
Páncreas

 

Resultados de su búsqueda : 7 Producto encontrado

Refine su búsqueda :

RUO
CE/IVD
NEW
  • Unconjugated 4
  • human 7
  • cow 4
  • pig 4
  • mouse 7
  • Primary antibody
  • IHC 7
  • 2D11-H5 4
  • IHC609 3
APLICAR FILTROS
REINICIE


Referencia
Descripción
Cond.
Precio Sin IVA