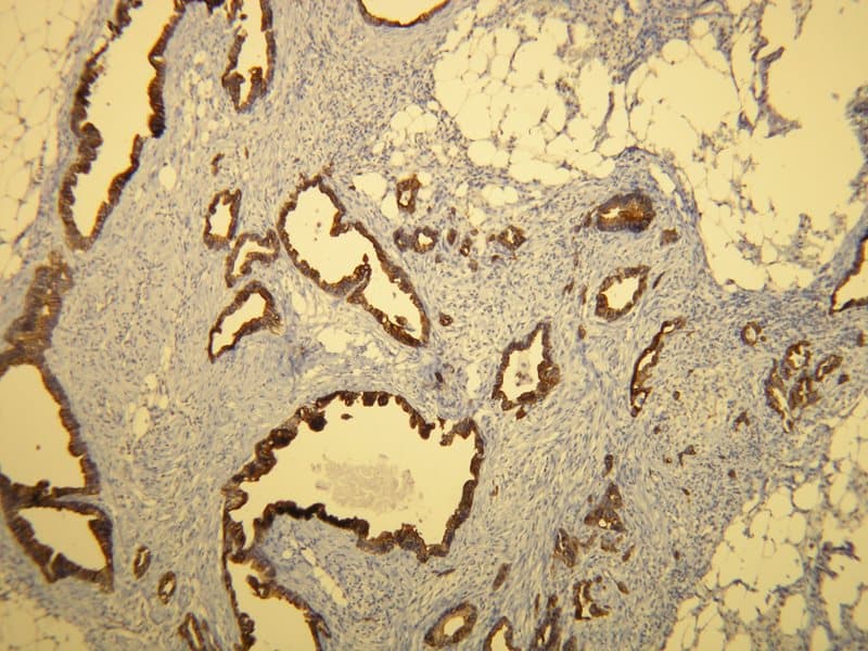
Las citoqueratinas son proteínas estructurales de filamentos intermedios que forman el citoesqueleto de las células epiteliales, contribuyendo a la estabilidad mecánica, la integridad celular y la arquitectura tisular. La citoqueratina 7 (CK7), una citoqueratina de tipo II, se expresa en muchos epitelios glandulares y ductales, incluidos los conductos biliares, los conductos pancreáticos y porciones de la mucosa gástrica y del intestino delgado. En contraste, la mucosa colónica normal es típicamente CK7-negativa, lo que convierte a esta proteína en un marcador de referencia útil en la patología gastrointestinal (GI).
Significado biológico de la Citoqueratina 7
Se ha observado una expresión aberrante de CK7 en subgrupos de neoplasias gastrointestinales, incluidos algunos adenocarcinomas colorrectales, gástricos y de intestino delgado. En estos contextos, la inmunoreactividad de CK7 puede reflejar alteraciones en la diferenciación epitelial y la linaje celular. En ciertos estudios, los carcinomas colorrectales CK7-positivos se han asociado con características histológicas mucinosas o de alto grado. Aunque la CK7 no es universalmente pronóstica, su expresión proporciona información sobre la biología tumoral y puede ayudar a caracterizar subtipos histopatológicos.
Utilidad diagnóstica en la patología gastrointestinal
La inmunohistoquímica de CK7, particularmente cuando se utiliza en combinación con CK20, es una herramienta bien establecida para distinguir tumores primarios de GI de lesiones metastásicas y para la caracterización de subtipos. Los perfiles de expresión típicos incluyen:
- Adenocarcinoma colorrectal: CK7−/CK20+
- Adenocarcinomas de GI superior (estómago, intestino delgado): frecuentemente CK7+/CK20 variable
- Lesiones metastásicas de sitios no gastrointestinales (pulmón, ovario, mama): CK7+
Estos patrones diferenciales de expresión ayudan a los patólogos a determinar el origen tumoral, particularmente en enfermedades metastásicas de primario desconocido. Además, la CK7 puede expresarse en epitelio colónico displásico o premaligno, como en el contexto de enfermedad inflamatoria intestinal, proporcionando un marcador complementario a la morfología convencional. La expresión en displasia es típicamente parcheada, lo que enfatiza su rol como marcador de apoyo y no como diagnóstico independiente.
Características clave de los anticuerpos Anti-Citoqueratina 7 CE/IVD
Los anticuerpos Anti-CK7 disponibles comercialmente diseñados para el diagnóstico clínico están validados para su uso en tejidos fijados en formalina e incluidos en parafina (FFPE) y optimizados para flujos de trabajo de inmunohistoquímica (IHC). La certificación CE/IVD garantiza el cumplimiento de las normas regulatorias europeas, asegurando reproducibilidad, sensibilidad, especificidad y trazabilidad en los laboratorios clínicos. Las características clave de los anticuerpos Anti-CK7 CE/IVD de alta calidad incluyen:
- Alta especificidad para CK7: Minimiza la reactividad cruzada con otras queratinas, asegurando una interpretación precisa.
- Compatibilidad con protocolos IHC en FFPE: Optimizados para los métodos comunes de recuperación de antígenos y plataformas de tinción automatizadas.
- Rendimiento robusto en paneles multiplex: Mejora la precisión diagnóstica cuando se combina con marcadores como CK20 y factores de transcripción específicos de linaje (p. ej., CDX2) en la evaluación de carcinomas gastrointestinales, pancreatobiliares y metastásicos.
- Cumplimiento regulatorio y reproducibilidad: La validación CE/IVD proporciona métricas de rendimiento consistentes entre lotes y laboratorios.
En conjunto, estas características posicionan a los anticuerpos Anti-Citoqueratina 7 CE/IVD como herramientas esenciales para la evaluación inmunohistoquímica en patología gastrointestinal, apoyando una clasificación precisa de tumores, ayudando en el diagnóstico diferencial y contribuyendo a un manejo efectivo del paciente informado por los patrones de expresión proteica.
|
Adenocarcinoma ductal de páncreas |


