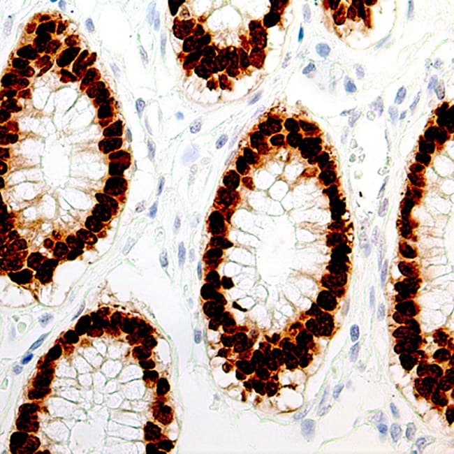
El factor de transcripción homeobox de tipo caudal 2 (CDX-2) es un factor de transcripción nuclear que contiene un dominio homeobox y pertenece a la familia de genes relacionados con caudal. Desempeña un papel fundamental en el desarrollo intestinal, la diferenciación epitelial y el mantenimiento de la identidad intestinal. CDX-2 funciona como un regulador transcripcional de múltiples genes implicados en la diferenciación del epitelio intestinal, la adhesión celular, la polaridad y la función de barrera, contribuyendo así a la homeostasis epitelial intestinal. En los tejidos adultos, CDX-2 se expresa en los núcleos de las células epiteliales de todo el intestino delgado y el colon, extendiéndose desde el duodeno hasta el colon distal. Esta expresión continua y restringida al linaje fundamenta su uso generalizado como marcador de diferenciación intestinal tanto en tejidos normales como en condiciones neoplásicas.
Significado biológico de CDX-2
CDX-2 es esencial para establecer y mantener la identidad intestinal durante el desarrollo embrionario. Contribuye al patrón anteroposterior del tracto gastrointestinal y es necesario para el compromiso con el linaje epitelial intestinal. La alteración o pérdida de la expresión de CDX-2 afecta la diferenciación intestinal normal y promueve un fenotipo epitelial menos diferenciado.
En el epitelio intestinal adulto, CDX-2 regula procesos biológicos clave que incluyen la proliferación, diferenciación, adhesión y apoptosis de las células epiteliales, apoyando la renovación tisular y la integridad estructural. Una fuerte expresión nuclear de CDX-2 es una característica distintiva de las células epiteliales intestinales maduras y se conserva en la mayoría de los adenomas colorrectales y adenocarcinomas colorrectales bien diferenciados, lo que refleja su papel como regulador maestro del fenotipo intestinal.
La expresión de CDX-2 también está estrechamente asociada con la metaplasia intestinal. Se detecta en la metaplasia intestinal del estómago y en el esófago de Barrett, donde marca el compromiso del linaje intestinal y puede estar presente antes de que se manifiesten características morfológicas plenamente desarrolladas, como la diferenciación de las células caliciformes. Estas observaciones respaldan su implicación en la transformación metaplásica temprana dentro del tracto gastrointestinal.
Utilidad diagnóstica en patología gastrointestinal
La detección inmunohistoquímica de CDX-2 se utiliza ampliamente en patología quirúrgica para la clasificación y el diagnóstico de neoplasias gastrointestinales. En el carcinoma colorrectal, se observa expresión nuclear de CDX-2 en una alta proporción de tumores, lo que proporciona evidencia sensible de origen intestinal. Esto es particularmente valioso en la evaluación de adenocarcinomas metastásicos de sitio primario desconocido.
La inmunohistoquímica de CDX-2 se integra frecuentemente en paneles diagnósticos con marcadores de citoqueratina como CK7 y CK20 para mejorar la precisión diagnóstica. La expresión se retiene comúnmente en el carcinoma colorrectal metastásico, lo que apoya la identificación del linaje tumoral en sitios secundarios. Sin embargo, se puede observar una expresión de CDX-2 reducida o ausente en carcinomas colorrectales mal diferenciados, de alto grado o avanzados, y esta limitación debe considerarse durante la interpretación diagnóstica.
Aunque CDX-2 está fuertemente asociado con la diferenciación intestinal, no es absolutamente específico. La expresión puede ocurrir en subconjuntos de adenocarcinomas no intestinales, particularmente aquellos que exhiben una diferenciación de tipo intestinal. En consecuencia, los resultados de la tinción con CDX-2 siempre deben interpretarse junto con la histomorfología, la información clínica y marcadores inmunohistoquímicos adicionales.
Características clave de los anticuerpos Anti-CDX-2 para inmunohistoquímica
Los anticuerpos anti-CDX-2 validados para inmunohistoquímica permiten una detección fiable de la proteína CDX-2 nuclear en secciones de tejido fijadas en formalina y embebidas en parafina. Estos anticuerpos producen patrones de tinción nuclear reproducibles consistentes con la función biológica de CDX-2 como factor de transcripción. Las características clave incluyen:
- Fuerte reactividad nuclear en el epitelio intestinal normal y en la mayoría de los adenocarcinomas colorrectales, incluidas las variantes mucinosas.
- Alta sensibilidad para identificar la diferenciación intestinal cuando se utiliza dentro de paneles inmunohistoquímicos multiparamétricos.
- Relevancia establecida en los flujos de trabajo rutinarios de patología gastrointestinal, apoyando una clasificación tumoral precisa y confianza diagnóstica.



