El Antígeno Carbohidrato 19-9 (CA 19-9), también conocido como sialil Lewis a (sLeᵃ), es un antígeno carbohidrato asociado a tumores bien caracterizado que se expresa en glucolípidos y glucoproteínas mucínicas de alto peso molecular en tejidos epiteliales. Fue identificado originalmente mediante anticuerpos monoclonales generados contra una línea celular de carcinoma colorrectal y posteriormente se encontró que se expresa en una amplia gama de neoplasias gastrointestinales (GI), especialmente en cánceres de páncreas, estómago y vías biliares. El CA 19-9 participa en la biología tumoral actuando como ligando para moléculas de adhesión selectina, una función que puede potenciar el potencial metastásico y modular las interacciones tumor-endotelio.
Significado biológico del CA 19-9
Bioquímicamente, el CA 19-9 corresponde a un derivado sialilado del antígeno del grupo sanguíneo Lewis a y refleja vías de glicosilación aberrantes que frecuentemente se encuentran sobreexpresadas en la transformación neoplásica. Normalmente es sintetizado por el epitelio ductal pancreático y biliar, y en niveles bajos en otras células epiteliales gastrointestinales; sin embargo, su expresión aumenta dramáticamente en muchos adenocarcinomas del tracto GI. Este aumento de expresión se correlaciona con la progresión tumoral y puede verse influido por la actividad de las glicosiltransferasas involucradas en su biosíntesis. El fenotipo del grupo sanguíneo Lewis influye en la expresión del CA 19-9: las personas con genotipo Le(a-b-) no pueden sintetizar CA 19-9, lo que conduce a resultados falsos negativos tanto en los ensayos séricos como en la tinción tisular.
Utilidad diagnóstica en patología gastrointestinal
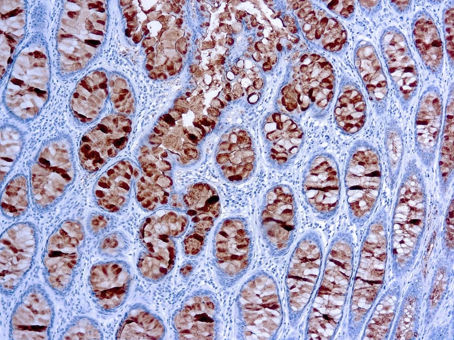
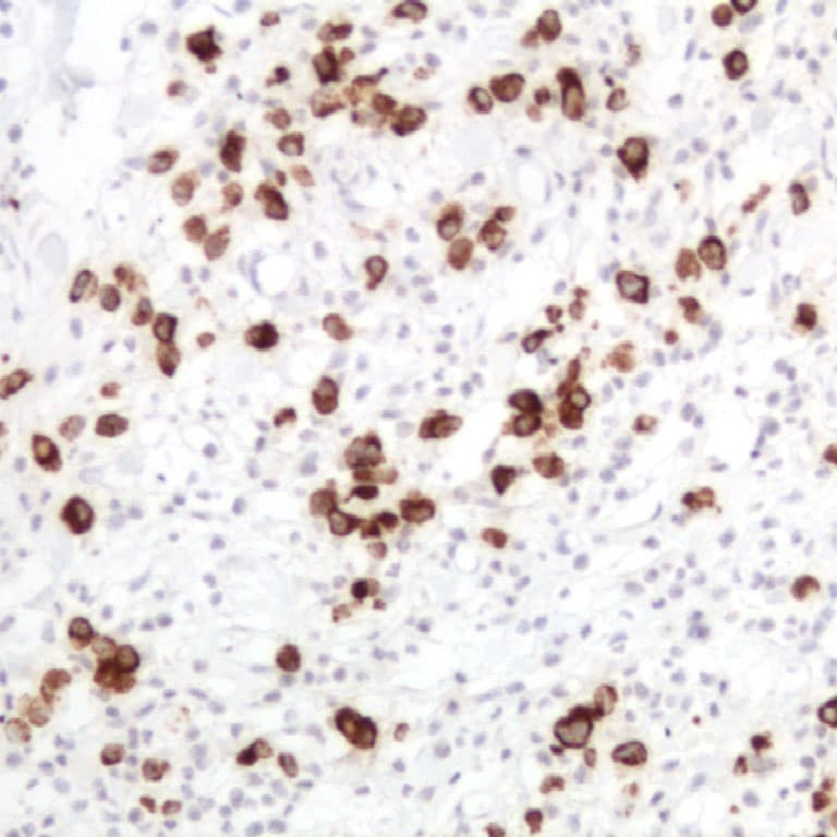
En la práctica clínica, la medición sérica de CA 19-9 es el marcador tumoral más ampliamente validado para el adenocarcinoma ductal de páncreas (PDAC), con sensibilidades agrupadas de alrededor del 79-81 % y especificidades del 82-90 % en pacientes sintomáticos, aunque no se recomienda como herramienta de cribado debido a su limitado valor predictivo positivo. Inmunohistoquímicamente, la detección de CA 19-9 en secciones de tejido fijadas en formalina e incluidas en parafina sirve como complemento diagnóstico en patología gastrointestinal. La tinción IHC para CA 19-9 puede ayudar a confirmar la diferenciación epitelial en adenocarcinomas, particularmente en tumores pancreáticos y biliares donde la positividad citoplasmática es común, y puede incorporarse en paneles IHC junto con marcadores como CK19 y SMAD4 para establecer el origen o subtipo tumoral.
Características clave de los anticuerpos Anti-CA 19-9 CE/IVD para IHC
- Especificidad de objetivo validada: Estos anticuerpos monoclonales reconocen el epítopo sialil Lewis a en CA 19-9, permitiendo una detección consistente de este antígeno carbohidrato en secciones tisulares de adenocarcinomas gastrointestinales.
- Compatibilidad con tejido fijado en formalina e incluido en parafina: Los reactivos certificados CE/IVD están optimizados para flujos de trabajo rutinarios de histopatología, apoyando una recuperación antigénica robusta y un rendimiento de tinción reproducible.
- Cumplimiento regulatorio clínico: Clasificación CE-marcada como diagnóstico in vitro (IVD) garantiza control de calidad, trazabilidad y conformidad con las normas regulatorias europeas para diagnósticos clínicos.
- Alta relación señal-ruido en tejidos tumorales: La IHC Anti-CA 19-9 demuestra consistentemente tinción citoplasmática y asociada a membrana en neoplasias que expresan CA 19-9, facilitando una correlación morfológica precisa con las características histopatológicas.



