El homólogo de MutS 6 (MSH6) es un componente crucial del sistema de reparación de errores de apareamiento (MMR) del ADN eucariota. Forma el complejo heterodimérico MutSα junto con MSH2, el cual reconoce e inicia la reparación de los errores de bases y los bucles cortos de inserción-deleción generados durante la replicación del ADN. Los defectos en MSH6 comprometen la integridad genómica, lo que conduce a la acumulación de errores de replicación e inestabilidad de microsatélites (MSI), una característica observada en un subconjunto de neoplasias gastrointestinales y de otro tipo, incluyendo el carcinoma colorrectal (CCR). Tanto las mutaciones de la línea germinal como la pérdida somática de la expresión de MSH6 se han implicado en el síndrome de Lynch, un síndrome de cáncer hereditario autosómico dominante que predispone a padecer cáncer colorrectal, endometrial, gástrico, ovárico y otros, así como en tumores esporádicos con deficiencia de MMR.
Significado Biológico de MSH6
MSH6, junto con MSH2, forma el complejo MutSα, que reconoce específicamente los errores de una sola base y los bucles cortos de inserción-deleción. Tras unirse a los errores del ADN, MutSα recluta factores de MMR posteriores para iniciar la reparación. Una función defectuosa de MSH6 conduce a una reparación deficiente, acumulación de errores de replicación y MSI. Los tumores con deficiencia de MMR suelen presentar una elevada carga mutacional y alteraciones en las interacciones tumor-inmunes, lo que puede influir en la respuesta a las inmunoterapias.
Las variantes patogénicas de la línea germinal en MSH6 causan el síndrome de Lynch, con un riesgo de por vida de cáncer colorrectal y endometrial que generalmente ocurre a una edad más tardía en comparación con los portadores de mutaciones en MLH1 o MSH2. Otras neoplasias asociadas incluyen el cáncer gástrico, ovárico y del tracto urinario, lo que subraya el amplio espectro clínico de la enfermedad relacionada con MSH6.
Utilidad Diagnóstica en Patología Gastrointestinal
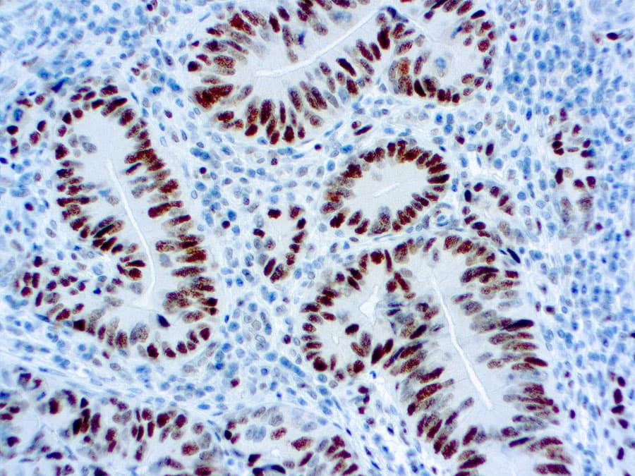
La inmunohistoquímica (IHC) para las proteínas MMR, incluyendo MSH6, es una herramienta validada y esencial para detectar tumores con deficiencia de MMR. La pérdida de la tinción nuclear de MSH6 en las células tumorales, interpretada junto con MLH1, MSH2 y PMS2, indica deficiencia de MMR y puede sugerir síndrome de Lynch o tumores esporádicos con MSI alta.
La IHC de MSH6 se implementa ampliamente en el cribado universal de MMR de los carcinomas colorrectales, identificando a pacientes que podrían no cumplir con los criterios clínicos para las pruebas de cáncer hereditario. Ocasionalmente, la expresión de MSH6 puede ser heterogénea o conservarse a pesar de los defectos funcionales, lo que subraya la importancia de la interpretación experta y la correlación con ensayos moleculares, incluyendo pruebas de MSI o secuenciación de nueva generación, para caracterizar completamente el estado de MMR del tumor.
Características Clave de los Anticuerpos Anti-MSH6 CE/IVD
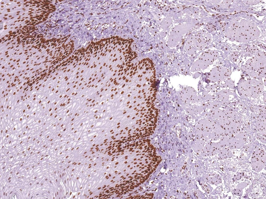
Los anticuerpos anti-MSH6 diseñados para IHC clínica (con marcado CE/IVD) ofrecen una alta especificidad y reproducibilidad en tejido fijado en formalina e incluido en parafina (FFPE). Permiten una distinción precisa entre la expresión conservada en células estromales o inflamatorias normales (controles internos) y la pérdida en los núcleos tumorales.
Atributos diagnósticos importantes incluyen:
- Alta especificidad analítica con mínima reactividad cruzada, permitiendo una evaluación precisa de MMR;
- Compatibilidad con plataformas de IHC automatizadas para una tinción reproducible en distintos laboratorios;
- Claridad interpretativa, apoyando la integración con MLH1, MSH2 y PMS2 en un panel de cuatro marcadores para mejorar la sensibilidad y especificidad en la detección de la deficiencia de MMR;
- Utilidad en pruebas reflejas, guiando pruebas moleculares rápidas de MSI o evaluación genética para el síndrome de Lynch.
La IHC de MSH6 no es solo un biomarcador diagnóstico para la deficiencia de MMR en tumores gastrointestinales, sino que también tiene relevancia terapéutica, ya que los tumores con MSI alta son elegibles para la terapia con inhibidores de puntos de control inmunitario.



