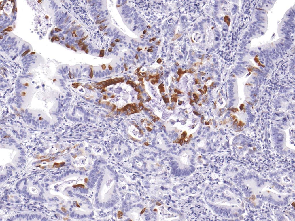
La mucina 5AC (MUC5AC) es una mucina secretada formadora de gel de alto peso molecular que se expresa en células epiteliales especializadas en la producción de moco. En los tejidos humanos normales, la MUC5AC es abundante en el epitelio foveolar superficial del estómago, contribuyendo a la capa mucosa protectora que defiende contra lesiones mecánicas y químicas, así como contra la invasión microbiana. También se expresa en el tracto respiratorio en condiciones fisiológicas. En el tracto gastrointestinal (GI), la expresión de MUC5AC suele estar ausente o ser muy baja en el colon. La regulación positiva aberrante o la expresión ectópica de MUC5AC se produce en una variedad de lesiones neoplásicas y preneoplásicas, lo que la convierte en un objetivo valioso para la detección inmunohistoquímica (IHC) con aplicaciones diagnósticas en patología GI.
Significado Biológico de la Mucina 5AC (MUC5AC)
La MUC5AC está codificada por el gen MUC5AC y pertenece a la familia de las mucinas secretadas formadoras de gel, que también incluye la MUC2 y la MUC6. Estas glucoproteínas están ampliamente O-glucosiladas y forman polímeros reticulados que contribuyen a las propiedades viscoelásticas del moco. Aunque se concentra fisiológicamente en el epitelio gástrico y las secreciones respiratorias, la expresión de MUC5AC está ausente en la mucosa colorrectal normal, pero puede inducirse en enfermedades GI, incluidas las lesiones serradas sésiles (LSS), los adenomas y los adenocarcinomas de colon y páncreas. Los estudios inmunohistoquímicos demuestran que la expresión de MUC5AC refleja los patrones de diferenciación en el carcinoma gástrico. A menudo se conserva en los cánceres gástricos de tipo difuso y precoces, mientras que la expresión disminuye en las zonas de metaplasia intestinal y en algunos tumores avanzados. Estas características respaldan su utilidad como marcador de diferenciación epitelial gástrica en histopatología.
Utilidad Diagnóstica en Patología Gastrointestinal
La IHC de MUC5AC ayuda a distinguir los subtipos tumorales y los estados de diferenciación en las biopsias GI. En el estómago, la positividad de MUC5AC se correlaciona con los fenotipos gástricos y ayuda a diferenciar los subtipos de carcinoma gástrico basándose en los perfiles de expresión de mucinas. En el páncreas, la MUC5AC se observa con frecuencia en los adenocarcinomas ductales y los carcinomas ampulares, mientras que suele estar ausente en el tejido pancreático normal o en la pancreatitis, lo que respalda su uso como marcador diagnóstico, aunque la expresión puede variar entre los casos. En el tracto GI inferior, la expresión ectópica de MUC5AC se asocia con lesiones precursoras como las LSS del colon. Los estudios demuestran que las LSS presentan una expresión de MUC5AC significativamente mayor en comparación con la mucosa normal y los adenomas convencionales, lo que destaca su papel en la identificación de la neoplasia de la vía serrada. En el diagnóstico del cáncer GI, la MUC5AC complementa marcadores como CK7, CK20, CDX2 y MUC2, perfeccionando la clasificación tumoral, la identificación de subtipos y la diferenciación de linajes en casos complejos.
Características Clave de los Anticuerpos Anti-Mucina 5AC (MUC5AC) CE/IVD
Los anticuerpos anti-MUC5AC diseñados para uso de diagnóstico in vitro (IVD) con marcado CE están validados para la inmunohistoquímica cualitativa en secciones de tejido fijadas en formalina e incluidas en parafina (FFPE). Estos anticuerpos están optimizados para detectar la proteína MUC5AC en muestras patológicas con alta especificidad y sensibilidad, minimizando la reactividad cruzada y permitiendo la detección reproducible de la expresión de mucina en tejidos gástricos y GI aberrantes. La incorporación de anticuerpos CE/IVD estandarizados en los paneles de diagnóstico mejora la precisión y reproducibilidad diagnóstica en laboratorios clínicos y de investigación.
En la práctica, los anticuerpos MUC5AC CE/IVD facilitan:
- Detección precisa de marcadores de diferenciación gástrica en carcinomas gástricos
- Identificación de la expresión aberrante de mucinas en neoplasias pancreáticas y colorrectales
- Integración en paneles de IHC de múltiples marcadores para un perfilado completo de tumores GI
Cuando se combinan con el contexto clínico y otros biomarcadores, estas herramientas de diagnóstico respaldan una clasificación histopatológica fiable, fundamental para la investigación, los ensayos clínicos y la atención al paciente.


