Anti-p63 CE/IVD para IHC - Dermopatología
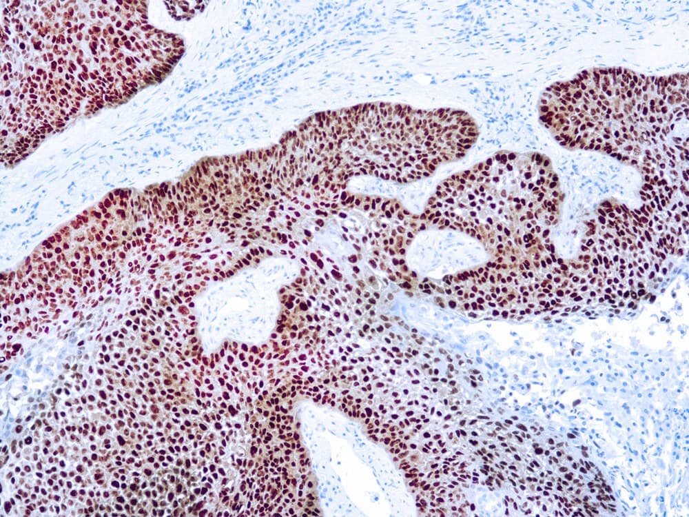
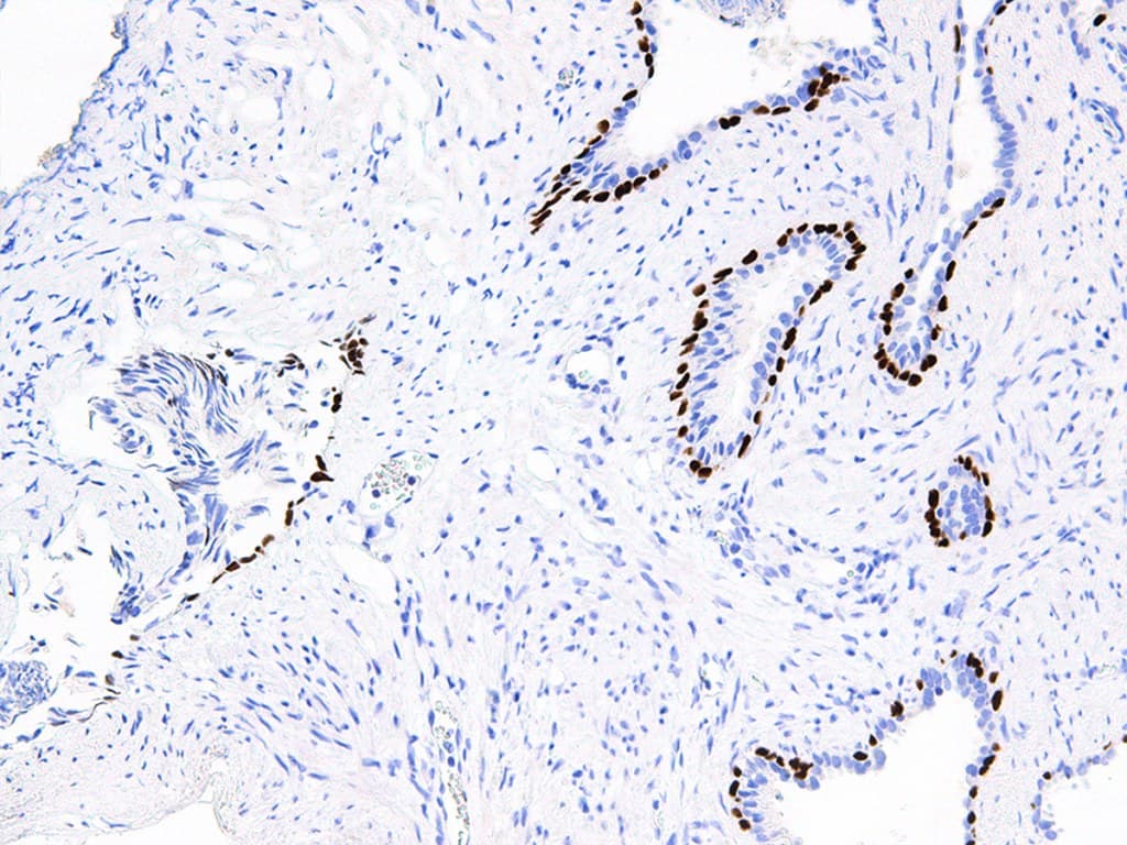
La p63 es una proteína supresora de tumores muy similar a la p53 en estructura y función, y homóloga a la p73. P63 se identifica en las células basales de las capas epiteliales de diversos tejidos, como la epidermis, el cuello uterino, el urotelio, la mama y la próstata. p63 es importante en el desarrollo y la diferenciación, y se ha identificado como un marcador útil para distinguir entre carcinomas de células escamosas de pulmón y adenocarcinomas. Se ha demostrado que p63 es un prometedor marcador específico de células basales complementario a la citoqueratina de alto peso molecular (HMW-CK), para el diagnóstico diferencial de lesiones prostáticas benignas y carcinoma prostático. El anti-p63 también se utiliza para diferenciar entre lesiones benignas y malignas de próstata y mama, debido a su marcaje de los núcleos de las células mioepiteliales en ambos tipos de tejido.


Sección de carcinoma de células escamosas de pulmón
Sección de cáncer de próstata
Resultados de su búsqueda : 3 Producto encontrado
Refine su búsqueda :
RUO
CE/IVD
NEW
- Unconjugated 3
- human 3
- mouse 3
- Primary antibody
- IHC 3
- IHC063 3
Referencia
Descripción
Cond.
Precio Sin IVA
‹
›
