Anti-HGAL CE/IVD para IHC - Hematopatología

 
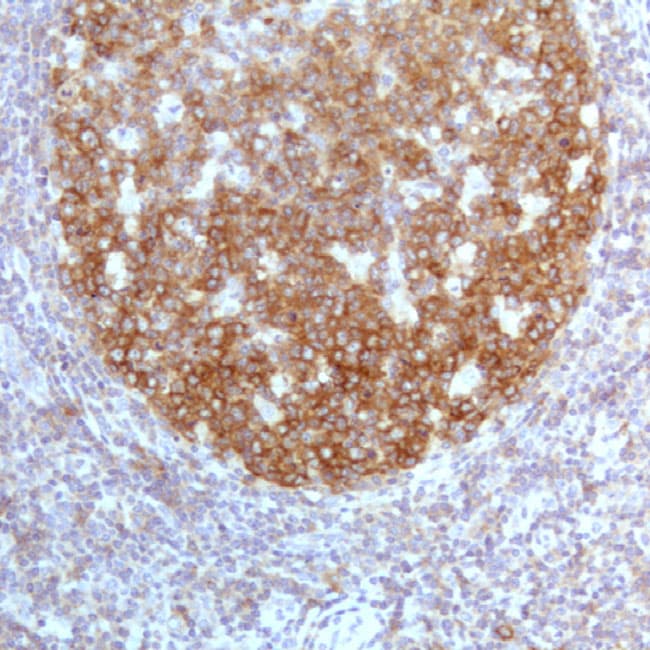
La proteína humana del linfoma asociado al centro germinal (HGAL), también conocida como proteína del linfoma asociado al centro germinal o GCET, se expresa específicamente en el citoplasma de las células B del centro germinal. Como la HGAL está ausente en las células B del manto y de la zona marginal, y en las regiones interfolicular y paracortical de las amígdalas y los ganglios linfáticos normales, esta proteína es un marcador de pronóstico óptimo para los linfomas de células B derivados de centros germinales, así como para el linfoma folicular. La expresión de HGAL también es indicativa de un subconjunto de linfoma de Hodgkin de derivación de centro germinal y de una mejor supervivencia, y predice el resultado en pacientes con linfoma difuso de células B grandes.
La tinción HGAL también está presente en el 100% de los linfomas de Burkitt, el 97,6% de los linfomas foliculares, el 87,5% de los linfomas mediastínicos de células B grandes y el 68% de los DLBCL. Se demostró que HGAL es más frecuentemente positivo en los linfomas foliculares, superior a la tinción de Bcl-6 y CD10. Mediante perfiles de expresión génica, los DLBCL se clasifican además en dos subgrupos adicionales: GC B-cell like y activar B-cell like DLBCL que no se pueden distinguir de forma fiable por la morfología.
 
 
Sección de amígdalas

 

Resultados de su búsqueda : 3 Producto encontrado

Refine su búsqueda :

RUO
CE/IVD
NEW
  • human 3
  • mouse 3
  • Primary antibody
  • IHC598 3
APLICAR FILTROS
REINICIE


Referencia
Descripción
Cond.
Precio Sin IVA
IHC598-100
 0.1ml,Concentrated