Los anticuerpos Anti-CD30 CE/IVD proporcionan una detección inmunohistoquímica precisa de neoplasias linfoides que expresan CD30, permitiendo un diagnóstico y clasificación exactos del linfoma de Hodgkin, el linfoma anaplásico de células grandes (ALCL) y otras neoplasias CD30-positivas.
Significado biológico de CD30
- Identidad molecular: Glicoproteína transmembrana de la superfamilia de receptores del factor de necrosis tumoral (TNFR); regula la proliferación, supervivencia y diferenciación de los linfocitos.
- Expresión normal: Presente en pequeños subconjuntos de linfocitos T y B activados, células NK y monocitos; ausente en linfocitos en reposo.
- Sobreexpresión patológica: Altamente expresado en células de Reed-Sternberg en el linfoma de Hodgkin clásico, en células tumorales de ALCL y en determinadas linfoproliferaciones de células T.
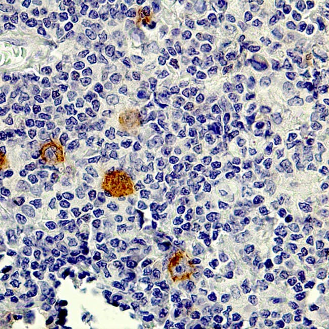
Utilidad diagnóstica en hematopatología
- Marcador de linfoma: La tinción membranosa intensa, a menudo con acentuación en la zona de Golgi, es característica de neoplasias CD30-positivas.
- Diagnóstico diferencial: Diferencia el linfoma de Hodgkin y el ALCL de otros linfomas y condiciones reactivas.
- Relevancia pronóstica y terapéutica: Apoya la subclasificación e identifica candidatos para terapias dirigidas contra CD30, como brentuximab vedotin.
Características clave de los anticuerpos Anti-CD30 CE/IVD
- Validado regulatoramente: Marcados CE y aprobados IVD para diagnóstico en tejido FFPE.
- Alta especificidad y sensibilidad: Clones monoclonales (p. ej. Ber-H2) proporcionan una detección robusta de CD30 con mínima reactividad cruzada.
- Rendimiento IHC optimizado: Tinción membranosa y citoplasmática consistente con recuperación antigénica, dilución y recomendaciones de control estandarizadas.
- Integración clínica: La interpretación por hematopatólogos entrenados garantiza resultados diagnósticos fiables y una adopción fluida en el flujo de trabajo.



