Anti-SOX10 CE/IVD para IHC - Dermopatología

 

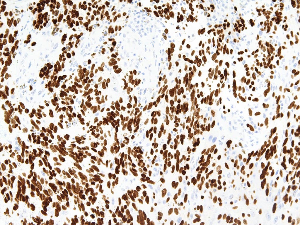
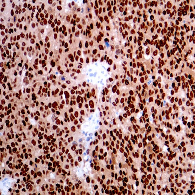
SRY (Sex Determining Region Y)-Box 10 (SOX-10), también conocido como factor de transcripción SOX-10, es un factor de transcripción nuclear que actúa en la regulación del desarrollo embrionario y en la especificación y diferenciación de las células de linaje melanocítico. Durante el desarrollo, SOX10 aparece por primera vez en la cresta neural en formación y continúa expresándose en las células de Schwann. Es importante para la diferenciación, maduración y mantenimiento de las células de Schwann y los melanocitos. SOX-10 se expresa de forma difusa en neurofibromas y schwannomas, y las mutaciones en el gen SOX-10 están relacionadas con las enfermedades de Waardenburg-Shah y Waardenburg-Hirschsprung. También se detecta en melanocitos y células epiteliales de glándulas salivales y mamarias. Los antiSOX-10 han demostrado ser sensibles al melanoma convencional, fusiforme y desmoplásico, y se han utilizado para detectar el melanoma metastásico y el nevus capsular ganglionar en los ganglios linfáticos centinela.

 

 

 

Sección de melanoma
Sección de melanoma

 

Resultados de su búsqueda : 900 Producto encontrado

Refine su búsqueda :

RUO
CE/IVD
NEW
  • Unconjugated 693
  • FITC 16
  • PE 16
  • APC 11
  • FITC/PE 2
  • PerCp 1
  • human 844
  • rat 80
  • mouse 66
  • monkey 62
  • cow 59
  • chicken 50
  • rabbit 39
  • pig 38
  • dog 20
  • cat 19
  • hamster 5
  • horse 2
  • mouse 809
  • rabbit 49
  • human 5
  • Primary antibody
  • IHC 746
  • FC 47
  • WB 10
  • ELISA 7
  • Polyclonal 34
  • 4C4.9 7
  • 100/D5 6
  • E29 6
  • H09 6
  • L26 6
  • OV-TL12/30 6
  • QBEnd/10 6
  • 121SLE 5
  • 124 5
  • 158-4D3 5
  • 1A4 5
  • 2B11 5
  • 2F11 5
  • 34bE12 5
  • 45M1 5
  • 8G7G3/1 5
  • AE-3 5
  • AE1 5
  • ALP/870 5
  • ASTRO/789 5
  • BCL6/2497R 5
  • BP53-12 5
  • Ber-H2 5
  • CCND1/3370R 5
  • CIP1/4377R 5
  • COL-1 5
  • Cocktail 5
  • DE-K10 5
  • DF-T1 5
  • GA-5 5
  • HHF35 5
  • HMB45 5
  • HO36-1.1 5
  • JC/70A 5
  • KBA.62 5
  • L1C1 5
  • LcN-2 5
  • Leu-M1 5
  • MSH6/3091 5
  • NFL/736 5
  • NK-1 5
  • NR-4 5
  • PD7/26 & 2B11 5
  • Pan 5
  • SOX10/991 5
  • UCHL1 5
  • V9 5
  • WA-1 5
  • s AE1 & AE3 5
  • s LK2H10 & PHE5 5
  • s M2-7C10 & M2-9E3 5
  • s NAPSA/1238 & NAPSA/1239 5
  • 143-44 4
  • 2D11-H5 4
  • 2H11 4
  • 31A3 4
  • 33-2A3 4
  • 4C7 4
  • A3-B1 4
  • C31.3 4
  • C31.7 4
  • D3/9 4
  • K8/383 4
  • Ki-67P 4
  • M2-7C10 4
  • M2-9E3 4
  • PD7/26 4
  • SC05 4
  • T311 4
  • 123C3.D5 3
  • 47-3D6 3
  • A3 3
  • A53-B/A2.26 3
  • AE1/AE3 3
  • BA17 3
  • D33 3
  • DBA.44 3
  • DO-1 3
  • DO-7 3
  • EP25 3
  • EP67 3
  • GP1.4 3
  • HP2/6 3
  • IHC001 3
  • IHC003 3
  • IHC007 3
  • IHC008 3
  • IHC010 3
  • IHC018 3
  • IHC019 3
  • IHC021 3
  • IHC029 3
  • IHC031 3
  • IHC034 3
  • IHC042 3
  • IHC043 3
  • IHC047 3
  • IHC053 3
  • IHC057 3
APLICAR FILTROS
REINICIE