Anti-Troglobulina CE/IVD para IHC - Patologia da cabeça e pescoço
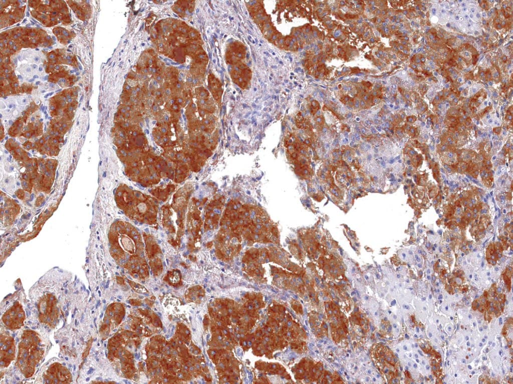
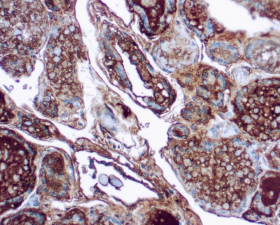
A tiroglobulina (TG) é uma glicoproteína dimérica específica da glândula tiróide que pertence à família da carboxilesterase/lipase tipo B. A tiroglobulina é um precursor das hormonas T4 e T3 da tiróide e está presente nas células foliculares da tiróide. As variações da TG estão associadas à susceptibilidade à doença auto-imune da tiróide do tipo 3. A síntese defeituosa ou deficiente da TG resulta geralmente em hipotiroidismo congénito do bócio, ausência virtual de TG no tecido da tiróide e presença de uma concentração elevada de iodoalbumina. O resultado final destas anomalias é uma diminuição da taxa de síntese de T3 e T4.
Quase todos os carcinomas foliculares da tiróide mancham a tiroglobulina e por vezes produzem um padrão de coloração focal. Pelo contrário, os carcinomas mal diferenciados e os adenocarcinomas não-tiróides não coram para a tiroglobulina, pelo que o anticorpo da tiroglobulina é um instrumento de diagnóstico útil para o reconhecimento de carcinomas papilares e foliculares da tiróide. Um painel de Anti-Tiroglobulina e Anti-Calcitonina é útil para identificar carcinomas medulares da tiróide, enquanto que um painel de Anti-Tiroglobulina e Anti-TTF1 é útil para distinguir entre as neoplasias primárias da tiróide e as neoplasias pulmonares.


Cancro da tiróide
Glândula tiróide
Resultado da sua pesquisa : 7 produto encontrado
Refine sua procura :
RUO
CE/IVD
NEW
- Unconjugated 7
- human 7
- mouse 7
- Primary antibody
- IHC 7
- 2H11 4
- IHC674 3
Referência
Descrição
Cond.
Price Bef. VAT
‹
›
