Secção de toneladas
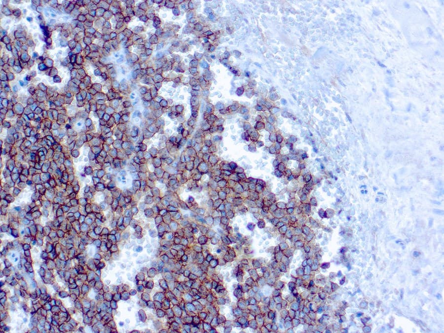
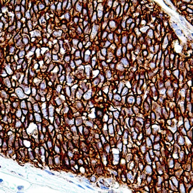
O aglomerado de diferenciação 99 (CD99), também conhecido como MIC2 ou glicoproteína de superfície de células T E2, é uma proteína transmembrana glicosilada expressa por linfócitos, timócitos corticais, células granulosas do ovário, células de ilhotas pancreáticas, células de Sertoli, e células endoteliais. CD99 é uma proteína transmembrana de cadeia única do tipo I, desprovida de sítios de glicosilação ligados ao N que é codificada pelo gene pseudoautosomal MIC2. O CD99 tem um peso molecular aparente de 32 kD e é amplamente expresso numa variedade de tecidos. Está envolvido na adesão de células T, migração leucocitária e diferenciação de célula neuroectodérmica primitiva. O CD99 produz padrões de coloração difusa da membrana em quase todos os sarcomas de Ewing e tumores neuroectodérmicos periféricos primitivos. O CD99 pode ser encontrado no sarcoma sinovial, carcinoma neuroendócrino, leucemia mielóide aguda, condrossarcoma mesenquimal, linfoma linfoblástico, pequenos tumores de células azuis redondas, tumores fibrosos solitários, tumores vasculares, e sarcoma mielóide e produz padrões de coloração heterogéneos, que devem ser acompanhados por outra coloração de anticorpos para um diagnóstico final.


Resultado da sua pesquisa : 5 produto encontrado
Refine sua procura :
- Unconjugated 5
- human 3
- rat 3
- mouse 3
- Primary antibody
- IHC 3
- HO36-1.1 5
