Anti-TTF-1 CE/IVD para IHC - Patologia Pulmonar
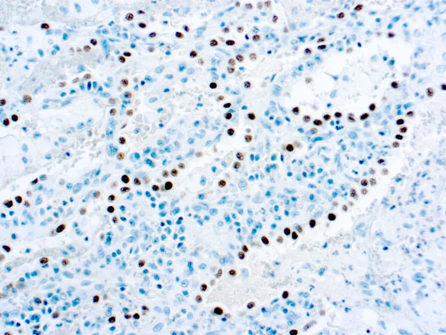
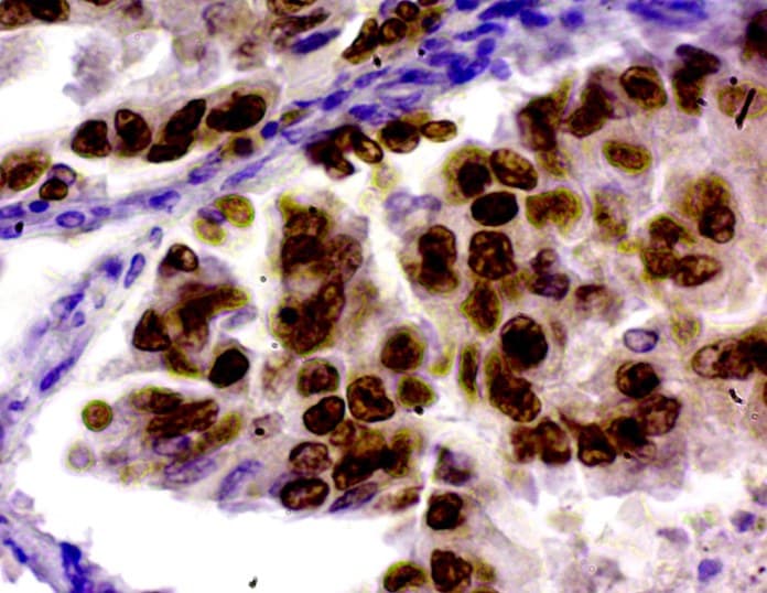
O Factor de Transcrição da Tiróide 1 (TTF-1), também conhecido como NK2 homeobox 1 (NKX2-1), é um membro da família NKx2 de factores de transcrição de homeodomínio. Liga e activa o promotor de genes específicos da tiróide como a tiroglobulina, tiroperoxidase, e receptor de tirotropina. A TTF-1 é importante na manutenção da diferenciação da tiróide e no desenvolvimento pulmonar. A TTF-1 está presente no diencéfalo, pulmão, e tiróide. As células positivas de TTF-1 encontram-se nos pneumócitos tipo II e as células Clara no pulmão. Anti-TTF-1 mancha a tiróide e tumores derivados da tiróide, sendo por isso utilizado para distinguir o adenocarcinoma pulmonar de tumores de células germinativas, mesotelioma maligno, e carcinomas metastáticos de órgãos que não a tiróide. É também útil para distinguir o carcinoma pulmonar de pequenas células dos infiltrados linfóides, e os adenocarcinomas pulmonares dos adenocarcinomas não pulmonares em efusões malignas. A capacidade de distinguir entre adenocarcinomas pulmonares e não-pulmonares é particularmente útil na identificação de tumores que se metástasearam para o cérebro.


Secção do adenocarcinoma pulmonar
Secção do adenocarcinoma pulmonar
Resultado da sua pesquisa : 5 produto encontrado
Refine sua procura :
RUO
CE/IVD
NEW
- Unconjugated 5
- human 5
- mouse 5
- Primary antibody
- IHC 5
- 8G7G3/1 5
Referência
Descrição
Cond.
Price Bef. VAT
‹
›
