Anti-Miogenina CE/IVD para IHC - Patologia dos tecidos moles
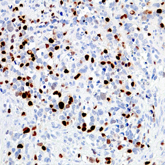
A miogenina pertence a uma família de factores de transcrição miogénica, incluindo MyoD, myf5, e MRF4, que são críticos no desenvolvimento muscular. Os factores miogénicos são factores de transcrição constituídos por uma região rica em aminoácidos e uma estrutura de hélice helix-loop-helix (HLH), que podem promover o desenvolvimento muscular e manter a expressão genética específica do músculo através da transativação. A miogenina desempenha um papel fundamental na determinação do compromisso e diferenciação das células mesenquimais primitivas em músculo esquelético. A miogenina é encontrada estritamente em células de origem do músculo esquelético, sendo por isso utilizada como biomarcador para tumores da linhagem muscular, incluindo rabdomiossarcomas alveolares. A coloração anti-Myogenin pode ocorrer no tumor de Wilms, e rotula os núcleos dos miooblastos no desenvolvimento do tecido muscular. É também expressa em alguns leiomiossarcomas.


Secção de rabdomiossarcomas
Secção de rabdomiossarcomas
Resultado da sua pesquisa : 3 produto encontrado
Refine sua procura :
RUO
CE/IVD
NEW
- Unconjugated 3
- human 3
- mouse 3
- Primary antibody
- IHC 3
- IHC631 3
Referência
Descrição
Cond.
Price Bef. VAT
‹
›
