Anti-Caldesmon CE/IVD para IHC - Patologia dos tecidos moles
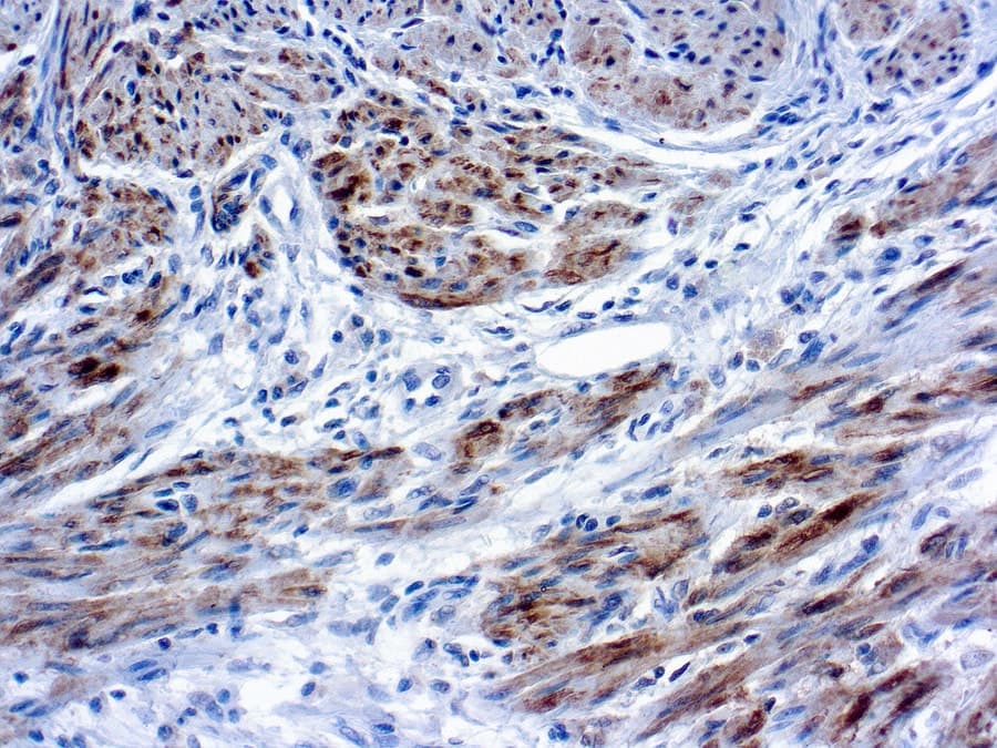
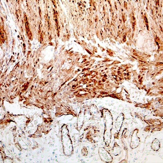
O Caldesmon é um marcador para a diferenciação muscular suave. Encontrado em músculo liso e outros tecidos, o caldesmon interage com Ca2+-calmodulina, actina, tropomiosina, miosina, e fosfolípidos. É mais específico para a diferenciação do músculo liso do que o desmin e a actina específica do músculo. Inibe a actividade ATPase da miosina no músculo liso, e mede a inibição dependente de Ca2+ da contracção do músculo liso e não-músculo. A expressão Caldesmon encontra-se em Tumores Estromais Gastrointestinais (GIST), e pode ser utilizada para diferenciar o mesotelioma epitelióide do carcinoma seroso papilar do ovário. É também um marcador específico para as células musculares lisas (LMC) e as suas neoplasias, e portanto pode ser usado no estudo do processo de diferenciação da LMC, bem como na diferenciação de outros tumores com diferenciação semelhante à LMC, incluindo leiomiossarcoma e tumores miofibroblásticos.


Secção de carcinoma endometrial
Secção muscular lisa
Resultado da sua pesquisa : 3 produto encontrado
Refine sua procura :
RUO
CE/IVD
NEW
- Unconjugated 3
- human 3
- mouse 3
- Primary antibody
- IHC 3
- IHC522 3
Referência
Descrição
Cond.
Price Bef. VAT
‹
›
