Hsp70 antibody [2A4]

Referencia GTX25442-100ul

embalaje : 100ul

Marca : GeneTex

Contact local distributor :


Teléfono : +1 850 650 7790

Hsp70 antibody [2A4]

Cat. No. GTX25442
References 1
Cat. No.  GTX25442
Anti-Hsp70 antibody [2A4] used in Immunocytochemistry/ Immunofluorescence (ICC/IF). GTX25442
GTX25442 ICC/IF Image

ICC/IF analysis of HeLa cells using GTX25442 Hsp70 antibody [2A4]. Cells were probed without (right) or with(left) an antibody.
Green : Primary antibody
Blue : Nuclei
Red : Actin
Fixation : formaldehyde
Dilution : 1:200 overnight at 4ºC

Anti-Hsp70 antibody [2A4] used in Immunocytochemistry/ Immunofluorescence (ICC/IF). GTX25442
GTX25442 ICC/IF Image

ICC/IF analysis of A431 cells using GTX25442 Hsp70 antibody [2A4]. Cells were probed without (left) or with(right) an antibody.
Green : Primary antibody
Blue : Nuclei
Red : Actin
Fixation : Formalin
Permeabilization : 0.1% Triton X-100 in TBS for 5-10 minute
Dilution : 1:100 incubated overnight in a humidified chamber

Anti-Hsp70 antibody [2A4] used in Immunocytochemistry/ Immunofluorescence (ICC/IF). GTX25442
GTX25442 ICC/IF Image

ICC/IF analysis of NCI-H1299 Cells using GTX25442 Hsp70 antibody [2A4]. Cells were probed without (right) or with(left) an antibody.
Green : Primary antibody
Blue : Nuclei
Red : Actin
Fixation : formaldehyde
Dilution : 1:100 overnight at 4 ºC

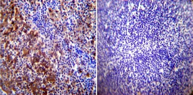
Anti-Hsp70 antibody [2A4] used in IHC (Paraffin sections) (IHC-P). GTX25442
GTX25442 IHC-P Image

IHC-P analysis of human tonsil tissue using GTX25442 Hsp70 antibody [2A4].
Left : Primary antibody
Right : Negative control without primary antibody
Antigen retrieval : heat induced antigen retrieval was performed using 10mM sodium citrate (pH6.0) buffer, microwaved for 8-15 minutes
Dilution : 1:200

Anti-Hsp70 antibody [2A4] used in Western Blot (WB). GTX25442
GTX25442 WB Image

WB analysis of 30 ug of HEK293T whole cell lysate per well using GTX25442 Hsp70 antibody [2A4].
Dilution : 1:1000

Anti-Hsp70 antibody [2A4] used in Western Blot (WB). GTX25442
GTX25442 WB Image

WB analysis of 50 ug of the indicated whole cell lysates using GTX25442 Hsp70 antibody [2A4].
Dilution : 1:1000

Anti-Hsp70 antibody [2A4] used in Immunocytochemistry/ Immunofluorescence (ICC/IF). GTX25442
GTX25442 ICC/IF Image

ICC/IF analysis of HeLa cells using GTX25442 Hsp70 antibody [2A4]. Cells were probed without (left) or with(right) an antibody.
Green : Primary antibody
Blue : Nuclei
Red : Actin
Fixation : Formalin
Permeabilization : 0.1% Triton X-100 in TBS for 5-10 minute
Dilution : 1:100 incubated overnight in a humidified chamber

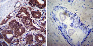
Anti-Hsp70 antibody [2A4] used in IHC (Paraffin sections) (IHC-P). GTX25442
GTX25442 IHC-P Image

IHC-P analysis of human breast tissue using GTX25442 Hsp70 antibody [2A4].
Left : Primary antibody
Right : Negative control without primary antibody
Antigen retrieval : heat induced antigen retrieval was performed using 10mM sodium citrate (pH6.0) buffer, microwaved for 8-15 minutes
Dilution : 1:200

Anti-Hsp70 antibody [2A4] used in Immunocytochemistry/ Immunofluorescence (ICC/IF). GTX25442
GTX25442 ICC/IF Image

ICC/IF analysis of HeLa and NIH3T3 cells using GTX25442 Hsp70 antibody [2A4].
Green : Primary antibody
Blue : Nuclei
Fixation : Formalin
Permeabilization : 0.1% Triton X-100 in TBS for 10 minutes
Dilution : 1:50 for at least 1 hour at room temperature

Anti-Hsp70 antibody [2A4] used in Immunoprecipitation (IP). GTX25442
GTX25442 IP Image

IP analysis of HeLa cell lysates using GTX25442 Hsp70 antibody [2A4].
IP reaction : 2μg antibody / 500μg lysate
Dilution : 1:1000

Anti-Hsp70 antibody [2A4] used in Immunocytochemistry/ Immunofluorescence (ICC/IF). GTX25442
GTX25442 ICC/IF Image

ICC/IF analysis of NIH-3T3 cells using GTX25442 Hsp70 antibody [2A4]. Cells were probed without (left) or with(right) an antibody.
Green : Primary antibody
Blue : Nuclei
Red : Actin
Fixation : Formalin
Permeabilization : 0.1% Triton X-100 in TBS for 5-10 minute
Dilution : 1:200 and incubated overnight in a humidified chamber

Anti-Hsp70 antibody [2A4] used in Immunocytochemistry/ Immunofluorescence (ICC/IF). GTX25442
GTX25442 ICC/IF Image

ICC/IF analysis of NIH-3T3 cells using GTX25442 Hsp70 antibody [2A4]. Cells were probed without (right) or with(left) an antibody.
Green : Primary antibody
Blue : Nuclei
Red : Actin
Fixation : formaldehyde
Dilution : 1:100 overnight at 4 ºC

Anti-Hsp70 antibody [2A4] used in IHC (Paraffin sections) (IHC-P). GTX25442
GTX25442 IHC-P Image

IHC-P analysis of human prostate carcinoma tissue using GTX25442 Hsp70 antibody [2A4].
Left : Primary antibody
Right : Negative control without primary antibody
Antigen retrieval : heat induced antigen retrieval was performed using 10mM sodium citrate (pH6.0) buffer, microwaved for 8-15 minutes
Dilution : 1:200

See all Hsp70 products