FOXO3A antibody [C3], C-term
Non-transfected (–) and transfected (+) C2C12 whole cell extracts (30 μg) were separated by 7.5% SDS-PAGE, and the membrane was blotted with FOXO3A antibody [C3], C-term (GTX100277) diluted at 1:500. The HRP-conjugated anti-rabbit IgG antibody (GTX213110-01) was used to detect the primary antibody.
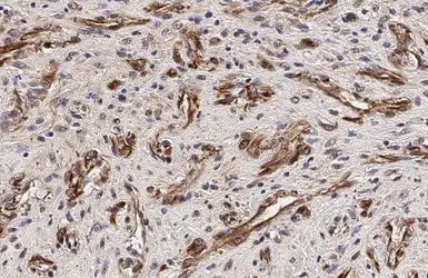
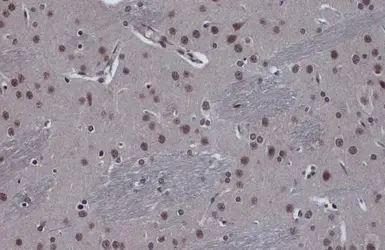
FOXO3A antibody [C3], C-term detects FOXO3A protein at cell membrane and cytoplasm by immunohistochemical analysis.Sample: Paraffin-embedded human glioblastoma.FOXO3A stained by FOXO3A antibody [C3], C-term (GTX100277) diluted at 1:500.Antigen Retrieval: Citrate buffer, pH 6.0, 15 min
FOXO3A antibody immunoprecipitates FOXO3A protein in IP experiments. IP Sample: Jurkat whole cell lysate/extract A. Control with 2 μg of preimmune rabbit IgG B. Immunoprecipitation of FOXO3A protein by 2 μg of FOXO3A antibody (GTX101150) 5% SDS-PAGE The immunoprecipitated FOXO3A protein was detected by FOXO3A antibody (GTX101150) diluted at 1:1000. EasyBlot anti-rabbit IgG (GTX221666-01) was used as a secondary reagent.
FOXO3A antibody [C3], C-term detects FOXO3A protein at nucleus by immunofluorescent analysis.Sample: HeLa cells were fixed in 4% paraformaldehyde at RT for 15 min.Green: FOXO3A stained by FOXO3A antibody [C3], C-term (GTX100277) diluted at 1:1000.Blue: Hoechst 33342 staining.Scale bar= 10 μm.
Various whole cell extracts (30 μg) were separated by 7.5% SDS-PAGE, and the membrane was blotted with FOXO3A antibody [C3], C-term (GTX100277) diluted at 1:1000. The HRP-conjugated anti-rabbit IgG antibody (GTX213110-01) was used to detect the primary antibody. Corresponding RNA expression data for the same cell lines are based on Human Protein Atlas program.


![Anti-FOXO3A antibody [C3], C-term used in IHC (Paraffin sections) (IHC-P). GTX100277](/proxy_img/aHR0cDovL3d3dy5nZW5ldGV4LmNvbS91cGxvYWQvd2Vic2l0ZS9wcm91Y3RfaW1nL21pZGRsZS9HVFgxMDAyNzcvR1RYMTAwMjc3XzQzMjkyXzIwMjAwMzI3X0lIQy1QX1Jfd18yMzA2MDEwMF80ODIud2VicA==.webp)
![Anti-FOXO3A antibody [C3], C-term used in IHC (Paraffin sections) (IHC-P). GTX100277](/proxy_img/aHR0cDovL3d3dy5nZW5ldGV4LmNvbS91cGxvYWQvd2Vic2l0ZS9wcm91Y3RfaW1nL21pZGRsZS9HVFgxMDAyNzcvR1RYMTAwMjc3XzQzNDg5XzIwMjAwMzI3X0lIQy1QX1Jfd18yMzA2MDEwMF82OTkud2VicA==.webp)
![Anti-FOXO3A antibody [C3], C-term used in Western Blot (WB). GTX100277](/proxy_img/aHR0cDovL3d3dy5nZW5ldGV4LmNvbS91cGxvYWQvd2Vic2l0ZS9wcm91Y3RfaW1nL21pZGRsZS9HVFgxMDAyNzcvR1RYMTAwMjc3XzQzNDg5XzIwMjIwMTA3X1dCX3dfMjMwNjAxMDBfOTg4LndlYnA=.webp)
![Anti-FOXO3A antibody [C3], C-term used in IHC (Paraffin sections) (IHC-P). GTX100277](/proxy_img/aHR0cDovL3d3dy5nZW5ldGV4LmNvbS91cGxvYWQvd2Vic2l0ZS9wcm91Y3RfaW1nL21pZGRsZS9HVFgxMDAyNzcvR1RYMTAwMjc3XzQwMjY4X0lIQ193XzIzMDYwMTAwXzE5MS53ZWJw.webp)
![Anti-FOXO3A antibody [C3], C-term used in IHC (Paraffin sections) (IHC-P). GTX100277](/proxy_img/aHR0cDovL3d3dy5nZW5ldGV4LmNvbS91cGxvYWQvd2Vic2l0ZS9wcm91Y3RfaW1nL21pZGRsZS9HVFgxMDAyNzcvR1RYMTAwMjc3XzQzOTg1XzIwMjAwODI4X0lIQy1QX01fd18yMzA2MDEwMF8xNDQud2VicA==.webp)
![Anti-FOXO3A antibody [C3], C-term used in Western Blot (WB). GTX100277](/proxy_img/aHR0cDovL3d3dy5nZW5ldGV4LmNvbS91cGxvYWQvd2Vic2l0ZS9wcm91Y3RfaW1nL21pZGRsZS9HVFgxMDAyNzcvR1RYMTAwMjc3XzM5NDQzX1dCX01fQnJhaW5fd18yMzA2MDEwMF80MDYud2VicA==.webp)
![Anti-FOXO3A antibody [C3], C-term used in IHC (Paraffin sections) (IHC-P). GTX100277](/proxy_img/aHR0cDovL3d3dy5nZW5ldGV4LmNvbS91cGxvYWQvd2Vic2l0ZS9wcm91Y3RfaW1nL21pZGRsZS9HVFgxMDAyNzcvR1RYMTAwMjc3XzQzNDg5XzIwMjAwMzI3X0lIQy1QX01fd18yMzA2MDEwMF8xMjUud2VicA==.webp)
![Anti-FOXO3A antibody [C3], C-term used in IHC (Paraffin sections) (IHC-P). GTX100277](/proxy_img/aHR0cDovL3d3dy5nZW5ldGV4LmNvbS91cGxvYWQvd2Vic2l0ZS9wcm91Y3RfaW1nL21pZGRsZS9HVFgxMDAyNzcvR1RYMTAwMjc3XzQzMjkyXzIwMjAwMzI3X0lIQy1QX01fd18yMzA2MDEwMF84NDIud2VicA==.webp)