- Specifications
Product Description
Mouse monoclonal antibody raised against partial recombinant human FOXJ1.
Immunogen
Recombinant protein corresponding to human FOXJ1.
Epitope
This antibody binds to an epitope located within the peptide sequence EPGKGGFWRI as determined by overlapping synthetic peptides.
Sequence
PREKDEPGKGGFWRIDPQYAERLLSGAFKKRRLPPVHIHPAFARQAAQEPSAVPRAGPLTVNTEAQQLLREFEEATGEAGWGAGEGRLGHKRKQPLPKRVAKVPRPPSTLLPTPEEQGELEPLKG
Host
Mouse
Reactivity
Human
Form
Liquid
Purification
Protein A purification
Isotype
IgG1
Recommend Usage
Immunohistochemistry (Formalin/PFA-fixed paraffin-embedded sections) (1:1000-1:2000)
The optimal working dilution should be determined by the end user.Storage Buffer
In PBS, pH 7.2 (40% glycerol, 0.02% sodium azide).
Storage Instruction
Store at 4°C. For long term storage store at -20°C.
Aliquot to avoid repeated freezing and thawing.Note
This product contains sodium azide: a POISONOUS AND HAZARDOUS SUBSTANCE which should be handled by trained staff only.
- Applications
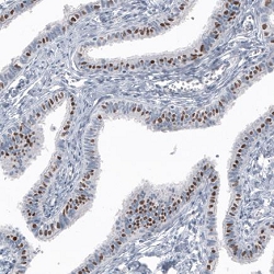
Immunohistochemistry (Formalin/PFA-fixed paraffin-embedded sections)
Immunohistochemical staining (Formalin-fixed paraffin-embedded sections) of human fallopian tube shows strong nuclear immunoreactivity in glandular cells. - Gene Info — FOXJ1
Entrez GeneID
2302Protein Accession#
Q92949Gene Name
FOXJ1
Gene Alias
FKHL13, HFH-4, HFH4, MGC35202
Gene Description
forkhead box J1
Gene Ontology
HyperlinkGene Summary
This gene encodes a member of the forkhead family of transcription factors. Similar genes in zebrafish and mouse have been shown to regulate the transcription of genes that control the production of motile cilia. The mouse ortholog also functions in the determination of left-right asymmetry. Polymorphisms in this gene are associated with systemic lupus erythematosus and allergic rhinitis
Other Designations
forkhead-like 13
- Interactomes
- Diseases
FOXJ1 monoclonal antibody, clone CL3989
Referencia MAB15699
embalaje : 100uL
Marca : Abnova
Images


