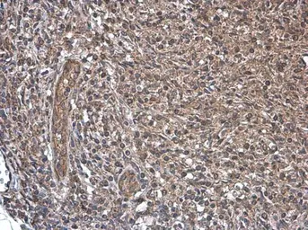
CD169 antibody detects CD169 protein at cell membrane by immunohistochemical analysis.Sample: Paraffin-embedded mouse thymus gland.CD169 stained by CD169 antibody (GTX131703) diluted at 1:500. Antigen Retrieval: Citrate buffer, pH 6.0, 15 min
GTX131703 IHC-P Image
CD169 antibody detects CD169 protein at cytoplasm by immunohistochemical analysis.Sample: Paraffin-embedded mouse lymph node.CD169 stained by CD169 antibody (GTX131703) diluted at 1:500. Antigen Retrieval: Citrate buffer, pH 6.0, 15 min
GTX131703 ICC/IF Image
CD169 antibody detects CD169 protein at cell membrane by immunofluorescent analysis.Sample: K562 cells were fixed in 4% paraformaldehyde at RT for 15 min.Green: CD169 stained by CD169 antibody (GTX131703) diluted at 1:500.Blue: Fluoroshield with DAPI (GTX30920).
See all CD169 products
Usted podría estar interesado también en los siguientes productos: