AHR antibody [RPT1]

Referencia GTX22770-100ul

embalaje : 100ul

Marca : GeneTex

Contact local distributor :


Teléfono : +1 850 650 7790

AHR antibody [RPT1]

Cat. No. GTX22770
References 11
Cat. No.  GTX22770
Anti-AHR antibody [RPT1] used in Immunocytochemistry/ Immunofluorescence (ICC/IF). GTX22770
GTX22770 ICC/IF Image

ICC/IF analysis of NIH-3T3 cells using GTX22770 AHR antibody [RPT1]. Cells were probed without (right) or with(left) an antibody.
Green : Primary antibody
Blue : Nuclei
Red : Actin
Fixation : formaldehyde
Dilution : 1:200 overnight at 4ºC

Anti-AHR antibody [RPT1] used in Western Blot (WB). GTX22770
GTX22770 WB Image

WB analysis of 20 ug of HepG2, U2OS, and K562 whole cell lysates using GTX22770 AHR antibody [RPT1].
Dilution : 1:1000

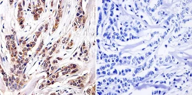
Anti-AHR antibody [RPT1] used in IHC (Paraffin sections) (IHC-P). GTX22770
GTX22770 IHC-P Image

IHC-P analysis of human breast carcinoma tissue using GTX22770 AHR antibody [RPT1].
Left : Primary antibody
Right : Negative control without primary antibody
Antigen retrieval : heat induced antigen retrieval was performed using 10mM sodium citrate (pH6.0) buffer, microwaved for 8-15 minutes
Dilution : 1:100

See all AHR products

Usted podría estar interesado también en los siguientes productos:



Referencia
Descripción
Cond.
Precio Sin IVA
GTX50766-100ul
 100ul