WBSCR22 antibody

Cat# GTX105840-100ul

Size : 100ul

Brand : GeneTex

Contact local distributor :


Phone : +1 850 650 7790

WBSCR22 antibody

Cat. No. GTX105840
1 References 4
Cat. No.  GTX105840
Anti-WBSCR22 antibody used in Immunoprecipitation (IP). GTX105840
GTX105840 IP Image

WBSCR22 antibody immunoprecipitates WBSCR22 protein in IP experiments. IP Sample: 1000 μg HeLa whole cell lysate/extract A. 40 μg HeLa whole cell lysate/extract B. Control with 2.5 μg of preimmune rabbit IgG C. Immunoprecipitation of WBSCR22 protein by 2.5 μg of WBSCR22 antibody (GTX105840) 12% SDS-PAGE The immunoprecipitated WBSCR22 protein was detected by WBSCR22 antibody (GTX105840) diluted at 1:1000. EasyBlot anti-rabbit IgG (GTX221666-01) was used as a secondary reagent.

Anti-WBSCR22 antibody used in Immunocytochemistry/ Immunofluorescence (ICC/IF). GTX105840
GTX105840 ICC/IF Image

WBSCR22 antibody detects WBSCR22 protein at cytoplasm and nucleus by immunofluorescent analysis.
Sample: HeLa cells were fixed in 4% paraformaldehyde at RT for 15 min.
Green: WBSCR22 protein stained by WBSCR22 antibody (GTX105840) diluted at 1:200.
Red: FIS1, a mitochondria marker, stained by FIS1 antibody [GT9810] (GTX631209) diluted at 1:20000.
Blue: Hoechst 33342 staining.

Anti-WBSCR22 antibody used in Western Blot (WB). GTX105840
GTX105840 WB Image

Sample (30 ug of whole cell lysate)
A: HeLa
B: HCT116
12% SDS PAGE
GTX105840 diluted at 1:1000

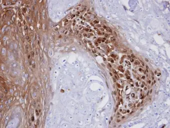
Anti-WBSCR22 antibody used in IHC (Paraffin sections) (IHC-P). GTX105840
GTX105840 IHC-P Image

Immunohistochemical analysis of paraffin-embedded CA922 xenograft, using WBSCR22 (GTX105840) antibody at 1:100 dilution.
Antigen Retrieval: Trilogy™ (EDTA based, pH 8.0) buffer, 15min

Anti-WBSCR22 antibody used in IHC (Paraffin sections) (IHC-P). GTX105840
GTX105840 IHC-P Image

WBSCR22 antibody detects WBSCR22 protein at cytoplasm on mouse kidney by immunohistochemical analysis.
Sample: Paraffin-embedded mouse kidney.
WBSCR22 antibody (GTX105840) diluted at 1:500.

Antigen Retrieval: Trilogy™ (EDTA based, pH 8.0) buffer, 15min

See all WBSCR22 products

You might also be interested by the following products:



Cat#
Description
Cond.
Price Bef. VAT
0413-SC
 10mg/ml