Macrophage colony stimulating factor (M-CSF) is a hematopoietic growth factor that is widely produced by a variety of cells. M-CSF stimulates the proliferation and differentiation of hematopoietic stem cells into monocyte and macrophage cell types. M-CSF also acts through the colony stimulating factor 1 receptor (CSF1R) to modulate processes involved in immunology, bone metabolism, fertility, and pregnancy. Human M-CSF shows activity on mouse cells; however, mouse M-CSF shows no activity on human cells.
Product images on the website are not representative of actual product, including, but not limited to differences in cap color, tube type, or label format.


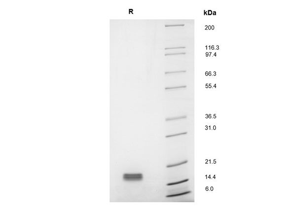
Figure 1. rh M-CSF (1μg) was resolved with SDS-PAGE under reducing (R) conditions and visualized by InstantBlue staining showing a single prominent band at 18.5 kDa.


Figure 2. Recombinant Human M-CSF induced proliferation of MNFS-60 cells.
Centrifuge vial before opening. Suspend the product by gently pipetting the above recommended solution down the sides of the vial. DO NOT VORTEX. Allow several minutes for complete reconstitution. For prolonged storage, dilute to working aliquots in a 0.1% BSA solution, store at -80°C and avoid repeat freeze thaws.
| Alternate Names | MGI-IM, CSF-1 |
| Accession Number | P09603 |
| Source | Genetically modified E.coli |
| Predicted Molecular Mass | Dimer, 18.5/37.1 kDa (159/318 aa) |
| AA Sequence | MEEVSEYCSH MIGSGHLQSL QRLIDSQMET SCQITFEFVD QEQLKDPVCY LKKAFLLVQD IMEDTMRFRD NTPNAIAIVQ LQELSLRLKS CFTKDYEEHD KACVRTFYET PLQLLEKVKN VFNETKNLLD KDWNIFSKNC NNSFAECSSQ GHERQSEGS |
| Formulation | Lyophilized from a 0.2 µm filtered solution containing 10 mM sodium phosphate, 50 mM sodium chloride, pH 8.0 |
| Product Reconstitution | Sterile water at 0.1 mg/mL |
| Country of Origin | USA |
| Specification* | Method of Determination | Acceptance Criteria |
| Purity | Reducing and Non-Reducing SDS PAGE | ≥ 95% |
| Endotoxin | Kinetic LAL | ≤ 0.1 EU/µg |
| Biological Activity (ED50) | NFS-60 cell proliferation | ≤ 10 ng/mL; ≥ 1.0 x 105 units/mg |
*Lot-specific values for the above specifications are supplied with each product on its corresponding COA. The values provided here are minimum expected values to pass internal requirements.