- Specifications
Product Description
Mouse monoclonal antibody raised against full length recombinant human BAX.
Immunogen
Recombinant protein corresponding to full length human BAX.
Host
Mouse
Theoretical MW (kDa)
21
Reactivity
Human
Specificity
This monoclonal antibody is highly specific to Bax and shows no cross-reaction with Bcl-2 or Bcl-X protein.
Form
Liquid
Purification
Protein A/G purification
Isotype
IgG1
Recommend Usage
Flow Cytometry (0.5-1 ug/106 cells in 0.1 mL)
Immunofluorescence (1-2 ug/mL)
Immunohistochemistry (Formalin/PFA-fixed paraffin-embedded sections) (0.5-1 ug/mL)
Western Blot (0.5-1 ug/mL)
The optimal working dilution should be determined by the end user.Storage Buffer
In 10 mM PBS (0.05% BSA, 0.05% sodium azide).
Storage Instruction
Store at 4°C.
Note
This product contains sodium azide: a POISONOUS AND HAZARDOUS SUBSTANCE which should be handled by trained staff only.
- Applications
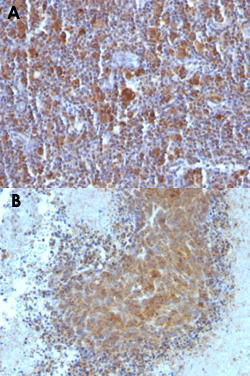
Immunohistochemistry (Formalin/PFA-fixed paraffin-embedded sections)
Immunohistochemical staining (Formalin-fixed paraffin-embedded sections) of Hodgkin's lymphoma (A) and human melanoma (B) with BAX monoclonal antibody, clone BAX/962 (Cat # MAB13415).Immunofluorescence
Flow Cytometry
Western Blot
- Gene Info — BAX
Entrez GeneID
581Protein Accession#
Q07812Gene Name
BAX
Gene Alias
BCL2L4
Gene Description
BCL2-associated X protein
Omim ID
600040Gene Ontology
HyperlinkGene Summary
The protein encoded by this gene belongs to the BCL2 protein family. BCL2 family members form hetero- or homodimers and act as anti- or pro-apoptotic regulators that are involved in a wide variety of cellular activities. This protein forms a heterodimer with BCL2, and functions as an apoptotic activator. This protein is reported to interact with, and increase the opening of, the mitochondrial voltage-dependent anion channel (VDAC), which leads to the loss in membrane potential and the release of cytochrome c. The expression of this gene is regulated by the tumor suppressor P53 and has been shown to be involved in P53-mediated apoptosis. Multiple alternatively spliced transcript variants, which encode different isoforms, have been reported for this gene. [provided by RefSeq
Other Designations
apoptosis regulator BAX
- Interactomes
- Pathways
- Diseases
BAX monoclonal antibody, clone BAX/962
Cat# MAB13415
Size : 100ug
Brand : Abnova
Images


