Anticorpos primários para imuno-histoquímica CE/IVD - Mama e Ginecologia
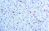
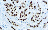
Patologia ginecológica é a subespecialidade de patologia médica que trata do estudo e diagnóstico de doenças envolvendo otracto genital feminino, de adenocarcinomas endocervicais a tumores de células germinativas ovarianas, por exemplo. Os cinco tipos de cancro ginecológico são o cancro ovariano, endometrial/uterino, cervical, vulvar e vaginal. As causas e factores de risco do cancro ginecológico variam entre os diferentes tipos. Os factores de risco gerais incluem idade, história familiar, e factores hormonais endógenos ou exógenos.
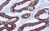
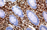
O cancro da mama é o cancro que se desenvolve a partir do tecido mamário. Os sinais de cancro da mama podem incluir um caroço no peito, uma mudança na forma do peito, uma covinha na pele, fluido proveniente do mamilo, um mamilo recentemente invertido, ou uma mancha de pele vermelha ou escamosa.
