Anti-Galectina-3 CE/IVD para IHC - Patologia da cabeça e pescoço
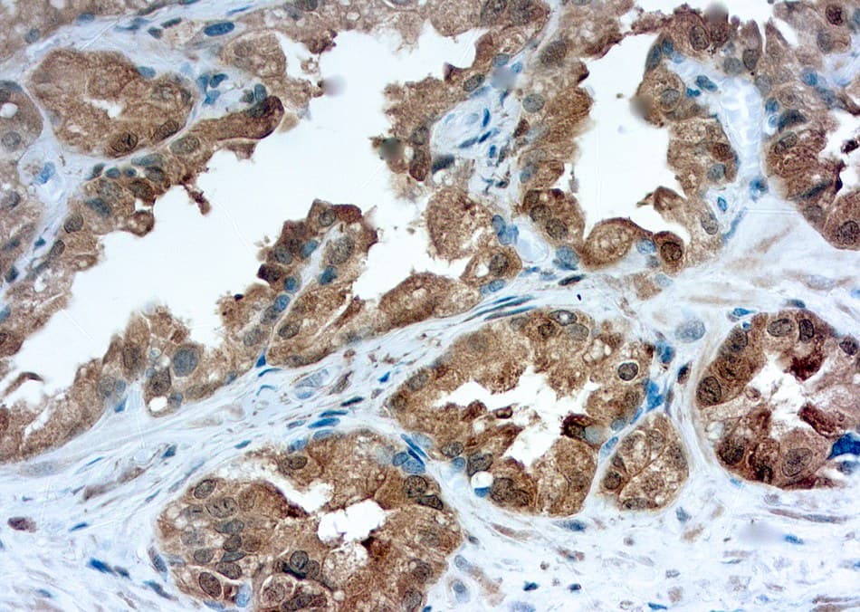
A galectina-3 é um membro da família das proteínas beta-galactosídicas que desempenha um papel importante na adesão celular, interacções de matriz celular, activação de macrófagos, angiogénese, metástase, e apoptose. A galectina-3 apresenta forte coloração citoplasmática difusa na maioria dos casos de carcinoma papilífero da tiróide (PTC), a maioria dos cancros da tiróide pouco diferenciados demonstram a expressão da proteína galectina-3 enquanto não é expressa em cancros anaplásicos da tiróide. A expressão não-preparada da galectina-3 está envolvida na progressão do cancro e metástase, e sugere-se que a galectina-3 pode ser uma ferramenta valiosa para apoiar o diagnóstico do carcinoma paratiróide. Foi também relatado que a galectina-3 tem desempenhado papéis importantes na progressão do cancro da próstata, e as suas expressões heterogéneas podem estar associadas a diferentes subtipos de cancro.

Carcinoma da próstata
Resultado da sua pesquisa : 3 produto encontrado
Refine sua procura :
RUO
CE/IVD
NEW
- mouse 3
- Primary antibody
- IHC 3
- IHC581 3
Referência
Descrição
Cond.
Price Bef. VAT
‹
›
