Anti-ACTH CE/IVD para IHC - Neuropatologia
POMC (pro-opiomelanocortina), também conhecida como corticotropina-lipotropina, é um precursor de 267 aminoácidos da hormona polipéptida que passa por um processamento pós-translacional extenso e específico de tecidos através de conversões de prohormona. POMC é clivado em dez cadeias hormonais denominadas NPP, γ-MSH, ACTH, α-MSH, CLIP (peptídeo intermediário semelhante à corticotropina), Lipotropina β, Lipotropina γ, β-MSH, β endorfina e Met-enkephalin.
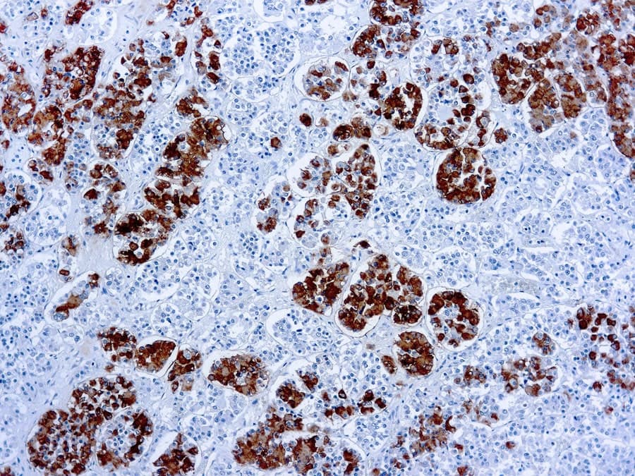
Adrenocorticotropia Hormona (ACTH ou corticotropina) é uma hormona péptida sintetizada em células da pituitária anterior e em neurónios no cérebro. Regula a produção de corticosteróides no córtex adrenal. A aplicação primária de anti-ACTH está na identificação de tumores pituitários e no estudo da doença pituitária. O anticorpo Anti-ACTH reage com células produtoras de ACTH (corticotrofos). Pode também causar síndromes paraneoplásicas ao secretar ACTH de outros tumores (por exemplo, alguns pequenos carcinomas celulares do pulmão).

Secção da glândula hipofisária
Resultado da sua pesquisa : 3 produto encontrado
Refine sua procura :
RUO
CE/IVD
NEW
- human 3
- mouse 3
- Primary antibody
- IHC 3
- IHC503 3
Referência
Descrição
Cond.
Price Bef. VAT
‹
›
