- Specifications
Product Description
Rabbit recombinant monoclonal antibody raised against synthetic peptide of human beta Tubulin.
Antibody Species
Rabbit
Immunogen
Original antibody is raised against a synthetic peptide corresponding to human beta Tubulin
Theoretical MW (kDa)
Calculated MW: 50 kD
Reactivity
Human
Form
Liquid
Preparation Method
Mammalian cell (CHO) expression system
Purification
Affinity purification
Isotype
IgG
Recommend Usage
Immunofluorescence (1:50-1:200)
Immunohistochemistry (1:50-1/100)
Western Blot (1:500-1:1000)
The optimal working dilution should be determined by the end user.Storage Buffer
In 50 mM Tris-Glycine pH 7.4 (0.15 M NaCl, 40% Glycerol, 0.01% Sodium azide and 0.05% BSA).
Storage Instruction
Store at 4°C for short term. For long term storage store at -20°C.
Aliquot to avoid repeated freezing and thawing.Note
This product contains sodium azide: a POISONOUS AND HAZARDOUS SUBSTANCE which should be handled by trained staff only.
- Applications
Immunohistochemistry (Formalin/PFA-fixed paraffin-embedded sections)
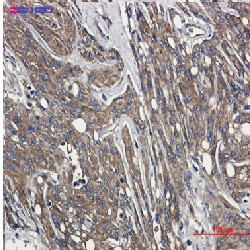
Immunohistochemistry (Formalin-fixed paraffin-embedded sections) of Human brain with beta Tubulin recombinant monoclonal antibody, clone R09-3F4 (Cat # RAB01557).Immunohistochemistry (Frozen sections)
Immunocytochemistry
Western Blot
Western blot analysis of beta Tubulin in K562, rat Brain, C6, 3T3 lysates using human beta Tubulin recombinant monoclonal antibody, clone R09-3F4 (Cat # RAB01557). - Gene Info — TUBB
Entrez GeneID
203068Protein Accession#
P07437Gene Name
TUBB
Gene Alias
M40, MGC117247, MGC16435, OK/SW-cl.56, TUBB1, TUBB5
Gene Description
tubulin, beta
Omim ID
191130Gene Ontology
HyperlinkGene Summary
O
Other Designations
OTTHUMP00000029069|beta 5-tubulin|beta Ib tubulin|beta-4 tubulin|tubulin beta polypeptide|tubulin beta-1 chain|tubulin beta-5 chain|tubulin, beta polypeptide
- Interactomes
- Pathways
- Diseases
TUBB recombinant monoclonal antibody, clone R09-3F4
Referência RAB01557
Tamanho : 100uL
Marca : Abnova
Images



