- Specifications
Product Description
Rabbit polyclonal antibody raised against synthetic phosphopeptide of PDCD4.
Immunogen
Synthetic phosphopeptide corresponding to residues surrounding S457 of human PDCD4.
Host
Rabbit
Theoretical MW (kDa)
52
Reactivity
Human, Mouse, Rat, Xenopus
Specificity
This antibody is specific for human Pdcd4 protein phosphorylated at Ser457. A BLAST analysis was used to suggest cross-reactivity with Pdcd4 from human, mouse, rat and Xenopus based on 100% homology with the immunizing sequence. Cross-reactivity with Pdcd4 from other sources has not been determined.
Form
Liquid
Purification
Immunoaffinity purification
Recommend Usage
ELISA (1:400000)
Western Blot (1:500-1:2000)
Immunohistochemistry (21.25-2.5 ug/mL)
The optimal working dilution should be determined by the end user.Storage Buffer
In 20 mM KH2PO4, 150 mM NaCl, pH 7.2 (0.01% sodium azide)
Storage Instruction
Store at 4°C. For long term storage store at -20°C.
Aliquot to avoid repeated freezing and thawing.Note
This product contains sodium azide: a POISONOUS AND HAZARDOUS SUBSTANCE which should be handled by trained staff only.
- Applications
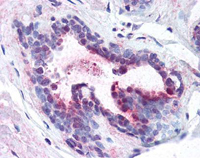
Immunohistochemistry (Formalin/PFA-fixed paraffin-embedded sections)
Immunohistochemical staining of formalin-fixed paraffin-embedded human breast epithelial cell with PDCD4 (phospho S457) polyclonal antibody (Cat # PAB19940).Enzyme-linked Immunoabsorbent Assay
Western Blot
Western blot analysis of recombinant protein with PDCD4 (phospho S457) polyclonal antibody (Cat # PAB19940). Lane 1& 2 each contain 100 ng recombinant PDCD4. Lanes 3& 4 each contain 30 ug of whole cell extract from 293 HEK cells treated with 20 nM TPA and MG132 proteosome inhibitor for 8 hours. The signal can be competed off with peptide phosphorylated at Ser 457 (Lanes 2 & 4) - Gene Info — PDCD4
Entrez GeneID
27250Gene Name
PDCD4
Gene Alias
H731, MGC33046, MGC33047
Gene Description
programmed cell death 4 (neoplastic transformation inhibitor)
Omim ID
608610Gene Ontology
HyperlinkGene Summary
This gene encodes a protein localized to the nucleus in proliferating cells. Expression of this gene is modulated by cytokines in natural killer and T cells. The gene product is thought to play a role in apoptosis but the specific role has not yet been determined. Two transcripts encoding different isoforms have been identified. [provided by RefSeq
Other Designations
OTTHUMP00000020483|nuclear antigen H731|programmed cell death 4
- Interactomes
- Diseases
PDCD4 (phospho S457) polyclonal antibody
Referência PAB19940
Tamanho : 100ug
Marca : Abnova
Images



