- Specifications
Product Description
Rabbit polyclonal antibody raised against synthetic peptide of LOX.
Immunogen
A mixture of synthetic peptides corresponding to residues within 300-400 and 200-300 of human LOX.
Host
Rabbit
Reactivity
Bovine, Chicken, Human, Mouse, Pig, Rat, Xenopus, Zebra fish
Form
Liquid
Quality Control Testing
Antibody Reactive Against Synthetic Peptide.
Recommend Usage
Immunohistochemistry (Formalin/PFA-fixed paraffin-embedded sections) (1:200)
Western Blot (1:1000-1:5000)
The optimal working dilution should be determined by the end user.Storage Buffer
In Tris-glycine, 150 mM NaCl (0.02% sodium azide)
Storage Instruction
Store at -20°C or -80°C.
Aliquot to avoid repeated freezing and thawing.Note
This product contains sodium azide: a POISONOUS AND HAZARDOUS SUBSTANCE which should be handled by trained staff only.
- Applications
Immunohistochemistry (Formalin/PFA-fixed paraffin-embedded sections)
Immunohistochemistry
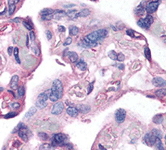
Staining of LOX on placental trophoblasts using LOX polyclonal antibody (Cat # PAB12403) at 10 ug/mL .Western Blot (Tissue lysate)
Western blot analysis of LOX in mouse kidney lysate using LOX polyclonal antibody (Cat # PAB12403) (1 : 1,000). - Gene Info — LOX
Entrez GeneID
4015Protein Accession#
P28300Gene Name
LOX
Gene Alias
MGC105112
Gene Description
lysyl oxidase
Gene Ontology
HyperlinkGene Summary
The protein encoded by this gene is an extracellular copper enzyme that initiates the crosslinking of collagens and elastin. The enzyme catalyzes oxidative deamination of the epsilon-amino group in certain lysine and hydroxylysine residues of collagens and lysine residues of elastin. In addition to crosslinking extracellular matrix proteins, the encoded protein may have a role in tumor suppression. [provided by RefSeq
Other Designations
protein-lysine 6-oxidase
- Interactomes
- Diseases
- Publication Reference
- Ras inhibitors display an anti-metastatic effect by downregulation of lysyl oxidase through inhibition of the Ras-PI3K-Akt-HIF-1α pathway.
Yoshikawa Y, Takano O, Kato I, Takahashi Y, Shima F, Kataoka T.
Cancer Letters 2017 Sep; 410:82.
Application:WB-Ce, Mouse, NIH/3T3 cells.
- Lysyl oxidase secreted by tumour endothelial cells promotes angiogenesis and metastasis.
Osawa T, Ohga N, Akiyama K, Hida Y, Kitayama K, Kawamoto T, Yamamoto K, Maishi N, Kondoh M, Onodera Y, Fujie M, Shinohara N, Nonomura K, Shindoh M, Hida K.
British Journal of Cancer 2013 Oct; 109(8):2237.
Application:IF, WB-Ce, WB-Tr, Mouse, Tumour endothelial, Normal endothelial cells, Blood vessels.
- Anthracycline inhibits recruitment of hypoxia-inducible transcription factors and suppresses tumor cell migration and cardiac angiogenic response in the host.
Tanaka T, Yamaguchi J, Shoji K, Nangaku M.
The Journal of Biological Chemistry 2012 Oct; 287(42):34866.
Application:WB, Human, A498 cells.
- Lysyl oxidase is essential for hypoxia-induced metastasis.
Erler JT, Bennewith KL, Nicolau M, Dornhofer N, Kong C, Le QT, Chi JT, Jeffrey SS, Giaccia AJ.
Nature 2006 Apr; 440(7088):1222.
Application:IHC-P, WB, Human, MDA231 cells-derived tumors.
- The Pro-regions of lysyl oxidase and lysyl oxidase-like 1 are required for deposition onto elastic fibers.
Thomassin L, Werneck CC, Broekelmann TJ, Gleyzal C, Hornstra IK, Mecham RP, Sommer P.
The Journal of Biological Chemistry 2005 Dec; 280(52):42848.
Application:IF, WB, Mouse, Rabbit, Mouse Aorta, Mouse lung, RFL-6 cells.
- Post-translational glycosylation and proteolytic processing of a lysyl oxidase precursor.
Trackman PC, Bedell-Hogan D, Tang J, Kagan HM.
The Journal of Biological Chemistry 1992 Apr; 267(12):8666.
Application:IP, Rat, Aorta smooth muscle cells.
- Ras inhibitors display an anti-metastatic effect by downregulation of lysyl oxidase through inhibition of the Ras-PI3K-Akt-HIF-1α pathway.
LOX polyclonal antibody
Referência PAB12403
Tamanho : 50uL
Marca : Abnova
Images



