- Specifications
Product Description
Rabbit polyclonal antibody raised against synthetic peptide of KISS1R.
Immunogen
A synthetic peptide corresponding to 18 amino acids at 3rd cytoplasmic domain of human KISS1R.
Host
Rabbit
Reactivity
Bovine, Goat, Human, Pig
Specificity
BLAST analysis of the peptide immunogen showed no homology with other human proteins, except MYBBP1A (56%).
Form
Liquid
Purification
Immunoaffinity chromatography
Recommend Usage
Immunohistochemistry (Formalin/PFA-fixed paraffin-embedded sections) (2.5-20 ug/mL)
The optimal working dilution should be determined by the end user.Storage Buffer
In PBS (0.09% sodium azide)
Storage Instruction
Store at 4°C. For long term storage store at -80°C.
Aliquot to avoid repeated freezing and thawing.Note
This product contains sodium azide: a POISONOUS AND HAZARDOUS SUBSTANCE which should be handled by trained staff only.
- Applications
Immunohistochemistry (Formalin/PFA-fixed paraffin-embedded sections)
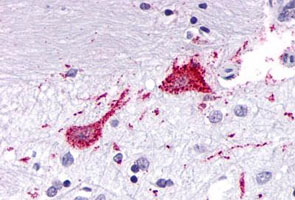
Immunohistochemical (Formalin/PFA-fixed paraffin-embedded sections) staining in human brain, neurons and glia with KISS1R polyclonal antibody (Cat # PAB26466). Immunohistochemistry of formalin-fixed, paraffin-embedded tissue after heat-induced antigen retrieval. - Gene Info — KISS1R
Entrez GeneID
84634Protein Accession#
Q969F8Gene Name
KISS1R
Gene Alias
AXOR12, GPR54, HOT7T175
Gene Description
KISS1 receptor
Gene Ontology
HyperlinkGene Summary
The protein encoded by this gene is a galanin-like G protein-coupled receptor that binds metastin, a peptide encoded by the metastasis suppressor gene KISS1. The tissue distribution of the expressed gene suggests that it is involved in the regulation of endocrine function, and this is supported by the finding that this gene appears to play a role in the onset of puberty. Mutations in this gene have been associated with hypogonadotropic hypogonadism and central precocious puberty. [provided by RefSeq
Other Designations
G protein-coupled receptor 54|metastin receptor
- Pathways
- Diseases
KISS1R polyclonal antibody
Referência PAB26466
Tamanho : 50ug
Marca : Abnova
Images


