- Specifications
Product Description
Rabbit polyclonal antibody raised against synthetic peptide of GPR175.
Immunogen
A synthetic peptide (conjugated with KLH) corresponding to human GPR175.
Host
Rabbit
Reactivity
Bovine, Dog, Hamster, Horse, Human, Mouse, Pig, Rat
Specificity
2nd cytoplasmic domain of human. Predicted crossreactivity with mouse and rat due to sequence similarity.
Form
Liquid
Purification
Immunoaffinity purification
Recommend Usage
Immunohistochemistry (Formalin/PFA-fixed paraffin-embedded sections) (10 ug/mL)
The optimal working dilution should be determined by the end user.Storage Buffer
In PBS (0.09% sodium azide)
Storage Instruction
Store at 4°C. For long term storage store at -80°C.
Aliquot to avoid repeated freezing and thawing.Note
This product contains sodium azide: a POISONOUS AND HAZARDOUS SUBSTANCE which should be handled by trained staff only.
- Applications
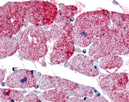
Immunohistochemistry (Formalin/PFA-fixed paraffin-embedded sections)
Immunohistochemical (Formalin/PFA-fixed paraffin-embedded sections) staining of human heart with GPR175 polyclonal antibody (Cat # PAB16215). - Gene Info — GPR175
Entrez GeneID
131601Protein Accession#
Q86W33Gene Name
GPR175
Gene Alias
FLJ32197, TPRA40
Gene Description
G protein-coupled receptor 175
Omim ID
608336Gene Ontology
HyperlinkOther Designations
seven transmembrane domain orphan receptor|transmembrane domain protein regulated in adipocytes 40 kDa
- Interactomes
GPR175 polyclonal antibody
Referência PAB16215
Tamanho : 50ug
Marca : Abnova
Images


