Glutamine synthetase antibody [GT1055]
Glutamine synthetase antibody [GT1055] detects Glutamine synthetase protein by immunohistochemical analysis.
Sample: Frozen sectioned adult mouse retina.
Green: Glutamine synthetase protein stained by Glutamine synthetase antibody [GT1055] (GTX630654) diluted at 1:250.
Red: PKC alpha protein stained by PKC alpha antibody [GT1876] (GTX130453) diluted at 1:250.
Blue: Fluoroshield with DAPI (GTX30920).
Glutamine synthetase antibody [GT1055] detects Glutamine synthetase protein at cytoplasm by immunofluorescent analysis.
Sample: Cultured rat E18 primary cortical neuron, DIV 8. Cells were fixed in 4% paraformaldehyde at RT for 15 min.
Green: Glutamine synthetase protein stained by Glutamine synthetase antibody [GT1055] (GTX630654) diluted at 1:250.
Red: GFAP, stained by GFAP antibody (GTX27260) diluted at 1:250.
Blue: Fluoroshield with DAPI (GTX30920).
Glutamine synthetase antibody [GT1055] detects Glutamine synthetase protein at cytosol on mouse skin by immunohistochemical analysis.
Sample: Paraffin-embedded mouse skin.
Glutamine synthetase antibody [GT1055] (GTX630654) dilution: 1:500.
Antigen Retrieval: Trilogy™ (EDTA based, pH 8.0) buffer, 15min
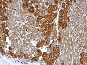
Glutamine synthetase antibody [GT1055] detects Glutamine synthetase protein at cytosol on human hepatoma by immunohistochemical analysis.
Sample: Paraffin-embedded human hepatoma.
Glutamine synthetase antibody [GT1055] (GTX630654) dilution: 1:500.
Antigen Retrieval: Trilogy™ (EDTA based, pH 8.0) buffer, 15min
Glutamine synthetase antibody [GT1055] detects Glutamine synthetase protein at cytosol on rat hind brain by immunohistochemical analysis.
Sample: Paraffin-embedded rat hind brain.
Glutamine synthetase antibody [GT1055] (GTX630654) dilution: 1:500.
Antigen Retrieval: Trilogy™ (EDTA based, pH 8.0) buffer, 15min
Glutamine synthetase antibody [GT1055] detects Glutamine synthetase protein by western blot analysis.
A. 30 μg U87-MG whole cell lysate/extract
B. 30 μg SK-N-SH whole cell lysate/extract
C. 30 μg IMR32 whole cell lysate/extract
D. 30 μg SK-N-AS whole cell lysate/extract
10 % SDS-PAGE
Glutamine synthetase antibody [GT1055] (GTX630654) dilution: 1:1000
Non-transfected (–) and transfected (+) 293T whole cell extracts (30 μg) were separated by 10% SDS-PAGE, and the membrane was blotted with Glutamine synthetase antibody [GT1055] (GTX630654) diluted at 1:1000. The HRP-conjugated anti-mouse IgG antibody (GTX213111-01) was used to detect the primary antibody.
Glutamine synthetase antibody [GT1055] detects Glutamine synthetase protein by western blot analysis.
A. 30 μg 293T whole cell lysate/extract
B. 30 μg HeLa whole cell lysate/extract
C. 30 μg HepG2 whole cell lysate/extract
10 % SDS-PAGE
Glutamine synthetase antibody [GT1055] (GTX630654) dilution: 1:1000


![Anti-Glutamine synthetase antibody [GT1055] used in Western Blot (WB). GTX630654](/proxy_img/aHR0cDovL3d3dy5nZW5ldGV4LmNvbS91cGxvYWQvd2Vic2l0ZS9wcm91Y3RfaW1nL21pZGRsZS9HVFg2MzA2NTQvR1RYNjMwNjU0XzQxNjAzXzIwMTYwNjMwX1dCX3NoUk5BX3dhdGVybWFya193XzIzMDYxMjAyXzU1OC53ZWJw.webp)
![Anti-Glutamine synthetase antibody [GT1055] used in Western Blot (WB). GTX630654](/proxy_img/aHR0cDovL3d3dy5nZW5ldGV4LmNvbS91cGxvYWQvd2Vic2l0ZS9wcm91Y3RfaW1nL21pZGRsZS9HVFg2MzA2NTQvR1RYNjMwNjU0XzQxNjAzXzIwMTYwOTAxX1dCX01fYnJhaW5fd18yMzA2MTIwMl8yNTgud2VicA==.webp)
![Anti-Glutamine synthetase antibody [GT1055] used in Western Blot (WB). GTX630654](/proxy_img/aHR0cDovL3d3dy5nZW5ldGV4LmNvbS91cGxvYWQvd2Vic2l0ZS9wcm91Y3RfaW1nL21pZGRsZS9HVFg2MzA2NTQvR1RYNjMwNjU0XzQxNjAzXzIwMTYwODI1X1dCX01fZXllX3dfMjMwNjEyMDJfMTIyLndlYnA=.webp)
![Anti-Glutamine synthetase antibody [GT1055] used in IHC (Frozen sections) (IHC-Fr). GTX630654](/proxy_img/aHR0cDovL3d3dy5nZW5ldGV4LmNvbS91cGxvYWQvd2Vic2l0ZS9wcm91Y3RfaW1nL21pZGRsZS9HVFg2MzA2NTQvR1RYNjMwNjU0XzQxNjAzXzIwMTUxMDAyX0lIQy1Gcl9NX3dfMjMwNjEyMDJfODk0LndlYnA=.webp)
![Anti-Glutamine synthetase antibody [GT1055] used in Western Blot (WB). GTX630654](/proxy_img/aHR0cDovL3d3dy5nZW5ldGV4LmNvbS91cGxvYWQvd2Vic2l0ZS9wcm91Y3RfaW1nL21pZGRsZS9HVFg2MzA2NTQvR1RYNjMwNjU0XzQxNjAzXzIwMTYwOTAxX1dCX1JfYnJhaW5fd18yMzA2MTIwMl82NTMud2VicA==.webp)