- Specifications
Product Description
Mouse polyclonal antibody raised against a full-length human BST2 protein.
Immunogen
BST2 (NP_004326.1, 1 a.a. ~ 180 a.a) full-length human protein.
Sequence
MASTSYDYCRVPMEDGDKRCKLLLGIGILVLLIIVILGVPLIIFTIKANSEACRDGLRAVMECRNVTHLLQQELTEAQKGFQDVEAQAATCNHTVMALMASLDAEKAQGQKKVEELEGEITTLNHKLQDASAEVERLRRENQVLSVRIADKKYYPSSQDSSSAAAPQLLIVLLGLSALLQ
Host
Mouse
Reactivity
Human
Quality Control Testing
Antibody reactive against mammalian transfected lysate.
Storage Buffer
In 1x PBS, pH 7.4
Storage Instruction
Store at -20°C or lower. Aliquot to avoid repeated freezing and thawing.
- Applications
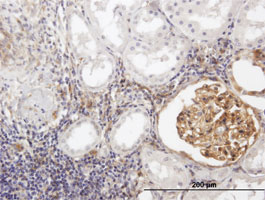
Immunohistochemistry (Formalin/PFA-fixed paraffin-embedded sections)
Immunoperoxidase of purified MaxPab antibody to BST2 on formalin-fixed paraffin-embedded human kidney. [antibody concentration 3 ug/ml]Immunofluorescence
Immunofluorescence of purified MaxPab antibody to BST2 on HeLa cell. [antibody concentration 10 ug/ml]Western Blot (Tissue lysate)
BST2 MaxPab polyclonal antibody. Western Blot analysis of BST2 expression in human spleen.Western Blot (Transfected lysate)
Western Blot analysis of BST2 expression in transfected 293T cell line (H00000684-T02) by BST2 MaxPab polyclonal antibody.
Lane 1: BST2 transfected lysate(19.8 KDa).
Lane 2: Non-transfected lysate.
- Gene Info — BST2
Entrez GeneID
684GeneBank Accession#
NM_004335Protein Accession#
NP_004326.1Gene Name
BST2
Gene Alias
CD317
Gene Description
bone marrow stromal cell antigen 2
Omim ID
600534Gene Ontology
HyperlinkGene Summary
Bone marrow stromal cells are involved in the growth and development of B-cells. The specific function of the protein encoded by the bone marrow stromal cell antigen 2 is undetermined; however, this protein may play a role in pre-B-cell growth and in rheumatoid arthritis. [provided by RefSeq
Other Designations
tetherin
- Interactomes
- Diseases
- Publication Reference
- CRISPR-mediated activation of endogenous BST-2/tetherin expression inhibits wild-type HIV-1 production.
Zhang Y, Ozono S, Yao W, Tobiume M, Yamaoka S, Kishigami S, Fujita H, Tokunaga K.
Scientific Reports 2019 Feb; 9(1):3134.
Application:IF, WB, Human, HOS cells.
- Release of Immunomodulatory Ebola Virus Glycoprotein-Containing Microvesicles Is Suppressed by Tetherin in a Species-Specific Manner.
Nehls J, Businger R, Hoffmann M, Brinkmann C, Fehrenbacher B, Schaller M, Maurer B, Schönfeld C, Kramer D, Hailfinger S, Pöhlmann S, Schindler M.
Cell Reports 2019 Feb; 26(7):1841.
Application:WB, Human, HeLa, 293T cells.
- Overweight in elderly people induces impaired autophagy in skeletal muscle.
Potes Y, de Luxán-Delgado B, Rodriguez-González S, Guimarães MRM, Solano JJ, Fernández-Fernández M, Bermúdez M, Boga JA, Vega-Naredo I, Coto-Montes A.
Free Radical Biology & Medicine 2017 May; 110:31.
Application:WB, Human, KMBC2, T24 cells.
- Efficient Vpu-mediated tetherin antagonism by an HIV-1 group O strain.
Mack K, Starz K, Sauter D, Langer S, Bibollet-Ruche F, Learn GH, Stürzel CM, Leoz M, Plantier JC, Geyer M, Hahn BH, Kirchhoff F.
Journal of Virology 2017 Jan; [Epub].
Application:WB-Tr, Human, HEK 293T cells.
- Tetherin antagonism by the Ebola virus glycoprotein requires an intact receptor-binding domain and can be blocked by GP1-specific antibodies.
Brinkmann C, Nehlmeier I, Walendy-Gnirß K, Nehls J, González Hernández M, Hoffmann M, Qiu X, Takada A, Schindler M, Pöhlmann S.
Journal of Virologyl 2016 Dec; 90(24):11075.
Application:IP-WB, PLA, Human, HeLa, HEK 293T cells.
- Tetherin is an exosomal tether.
Edgar JR, Manna PT, Nishimura S, Banting G, Robinson MS.
Elife 2016 Sep; 5.
Application:WB, IEM, Human, HeLa cells.
- Lack of adaptation to human tetherin in HIV-1 Group O and P.
Yang SJ, Lopez LA, Exline CM, Haworth KG, Cannon PM.
Retrovirology 2011 Sep; 8:78.
Application:IF, Human, HeLa cells.
- Tethered virions are intermediates in the assembly and release of HIV-1 particles.
Karetnikov A, Suomalainen M.
Virology 2010 Nov; 407(2):289.
Application:IF, WB-Tr, Human, HeLa H1 cells.
- Tetherin Restricts Productive HIV-1 Cell-to-Cell Transmission.
Casartelli N, Sourisseau M, Feldmann J, Guivel-Benhassine F, Mallet A, Marcelin AG, Guatelli J, Schwartz O.
PLoS Pathogens 2010 Jun; 6(6):e1000955.
Application:IF, Flow Cyt, Human, HEK 293T, HeLa, MT4C5, T cells.
- HIV-1 Vpu and HIV-2 Env counteract BST-2/tetherin by sequestration in a perinuclear compartment.
Hauser H, Lopez LA, Yang SJ, Oldenburg JE, Exline CM, Guatelli JC, Cannon PM.
Retrovirology 2011 Jun; 7:51.
Application:IF, Human, HeLa cells.
- Ebola glycoprotein counteracts BST-2/tetherin restriction in a sequence independent manner that does not require tetherin surface removal.
Lopez LA, Yang SJ, Hauser H, Exline CM, Haworth KG, Oldenburg J, Cannon PM.
Journal of Virology 2010 Jul; 84(14):7243.
Application:IF, Human, HEK 293A, HeLa cells.
- Simian immunodeficiency virus envelope glycoprotein counteracts tetherin/BST-2/CD317 by intracellular sequestration.
Gupta RK, Mlcochova P, Pelchen-Matthews A, Petit SJ, Mattiuzzo G, Pillay D, Takeuchi Y, Marsh M, Towers GJ.
PNAS 2009 Dec; 106(49):20889.
Application:Flow Cyt, IEM, IF,, Human, HEK 293T cells.
- HIV-1 Accessory Protein Vpu Internalizes Cell-surface BST-2/Tetherin through Transmembrane Interactions Leading to Lysosomes.
Iwabu Y, Fujita H, Kinomoto M, Kaneko K, Ishizaka Y, Tanaka Y, Sata T, Tokunaga K.
The Journal of Biological Chemistry 2009 Oct; 284(50):35060.
Application:IP-WB, WB, Human, HEK 293T cells.
- CRISPR-mediated activation of endogenous BST-2/tetherin expression inhibits wild-type HIV-1 production.
BST2 purified MaxPab mouse polyclonal antibody (B02P)
Referência H00000684-B02P
Tamanho : 50ug
Marca : Abnova
Images





