Anti-FDX1 | Ferredoxin

Referência AS06121

Tamanho : 50ul

Marca : Agrisera

Contactar o distribuidor local :


Telefone : +1 850 650 7790

Anti-FDX1 | Ferredoxin

Product no: AS06 121

AS06 121  | Clonality: Polyclonal  | Host: Rabbit  | Reactivity: A. thaliana, H. vulgare,  P. strobus, S. oleracea, Ch. reinhardtii, Synechocystis 6803 substrain PCC-M

    Product Info
    Immunogen:

    Native ferredoxin purified from Spinacia oleracea.

    Host: Rabbit
    Clonality: Polyclonal
    Purity: Serum
    Format: Lyophilized
    Quantity: 50 µl
    Reconstitution: For reconstitution add 50 µl of sterile water
    Storage: Store lyophilized/reconstituted at -20°C; once reconstituted make aliquots to avoid repeated freeze-thaw cycles. Please remember to spin the tubes briefly prior to opening them to avoid any losses that might occur from material adhering to the cap or sides of the tube.
    Tested applications: Western blot (WB)
    Recommended dilution: 1 : 1000 (WB)
    Expected | apparent MW:

    10 (Spinacia oleracea); 16.7 (Arabidopsis thaliana), 13.7 (Chlamydomonas reinhardtii)

    Reactivity
    Confirmed reactivity: Arabidopsis thaliana, Chlamydomonas reinhardtii, Hordeum vulgare, Pinus strobus, Spinacia oleracea, Synechocystis 6803 substrain PCC-M
    Predicted reactivity:

    Dicots, Nicotiana tabacum, Physcomitrium patens, Zea mays


    Species of your interest not listed? Contact us
    Not reactive in:

    Phaeodactylum tricornutum 

    Application Examples


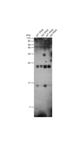
    20 or 40 µg of total protein from Arabidopsis thaliana (WT) leafs or ferredoxin mutant fd2 were separated on 15 %  acrylamide gel with 6 M urea. Filters were blotted on PVDF, blocked (1 h) with 5 % milk, incubated with 1: 1000 anti-ferredoxin (over night in 4ºC) in 1 % milk/TBS-T) followed by incubation with 1: 10000 secondary antibody (2 h) coupled to HRP and visualization with standard ECL. 

    20 or 40 µg of total protein from Arabidopsis thaliana (WT) leafs or ferredoxin mutant fd2 were separated on 15 %  acrylamide gel with 6 M urea. Filters were blotted on PVDF,5 µg of soluble protein extracts from Chlamydomonas reinhardtii strain CC-4532 were separated on 15 % SDS-PAGE and blotted at 4 W for 30 min to nitrocellulose membrane (0.1 µm pore size) using semi-dry transfer. The blot was blocked with 1 % non-fat dry milk overnight at room temperature (RT) with agitation. The blot was incubated in the primary antibody solution at a dilution of 1: 10 000 in PBS-T+1% milk for 2h at RT with agitation. The antibody solution was decanted and the blot was rinsed briefly twice, then washed once for 15 min and 3 times for 5 min in PBS-T at RT with agitation. The blot was incubated in secondary antibody solution (anti-rabbit IgG-AP conjugated) diluted to 1: 300 in PBS-T+1% milk for 1h at RT with agitation. The blot was washed as above and developed with exposure time of 2.5 minutes.

    Courtesy of Dr. Marcus Miethke, Department of Chemistry & Biochemistry, UCLA
    Additional Information
    Additional information:

    In Arabidopsis thaliana leaf extracts there is a strong cross-reactivity at 20 kDa.

    Additional information (application):

    Load per well: 20-40  µg/lane required for Arabidopsis thaliana, 2-10 µg for other species.

    This product can be sold containing proclin if requested.

    Background
    Background:

    Ferredoxins are acidic, low molecular weight, soluble iron-sulfur proteins found in various organisms. Iron-sulfur proteins are defined as proteins carrying iron-sulfur cluster(s) in which the iron is at least partially coordinated by sulfur. The protein acts as multifunctional electron carriers in diverse redox systems. The chloroplast ferredoxin is involved in both cyclic and non-cyclic photophosphorylation reactions of photosynthesis and other reductive reactions in the chloroplast.

    Product Citations
    Selected references: Krupinska et al. (2025). Iron allocation to chloroplast proteins depends on the DNA-binding protein WHIRLY1. Planta. 2025 Jun 17;262(2):32. doi: 10.1007/s00425-025-04736-8.  
    Tiwari et al. (2024). Differential FeS cluster photodamage plays a critical role in regulating excess electron flow through photosystem I. Nat Plants. 2024 Oct;10(10):1592-1603. doi: 10.1038/s41477-024-01780-2.  
    Lin et al. (2024). Hydrogen production in the Chlorella sp. DT mutants carrying heterologous electron donor ferredoxin 1 of Chlamydomonas reinhardtii. Electronic Journal of Biotechnology Volume 69, May 2024, Pages 11-20.
    Cvetkovska et al. (2018). Characterization of photosynthetic ferredoxin from the Antarctic alga Chlamydomonas sp. UWO241 reveals novel features of cold adaptation. New Phytol. 2018 Jul;219(2):588-604. doi: 10.1111/nph.15194.
    Jokel et al. (2018). Hunting the main player enabling Chlamydomonas reinhardtii growth under fluctuating light. Plant J. 2018 Mar 25. doi: 10.1111/tpj.13897.
    Georg et al. (2017). Acclimation of Oxygenic Photosynthesis to Iron Starvation Is Controlled by the sRNA IsaR1. Curr Biol. 2017 May 22;27(10):1425-1436.e7. doi: 10.1016/j.cub.2017.04.010.
    Hu et al. (2017). The SUFBC2 D Complex is Required for the Biogenesis of All Major Classes of Plastid Fe-S Proteins. Plant J. 2017 Jan 19. doi: 10.1111/tpj.13483.
    Higuchi et al. (2011). Modulation of macronutrient metabolism in barley leaves under iron-deficient condition. Soil Sc and Plant Nutr. 57 (2): 233-247.
    Protocols Agrisera Western Blot protocol and video tutorials

    Protocols to work with plant and algal protein extracts Reviews:
  • This product doesn't have any reviews.

Você também pode estar interessado nos seguintes produtos:



Referência
Descrição
Cond.
Price Bef. VAT
0100-01
 25mL